Menu
Case histories
Lectures
A new approach
List of cases
Videorecords
Pitfalls
Course book
Course on US
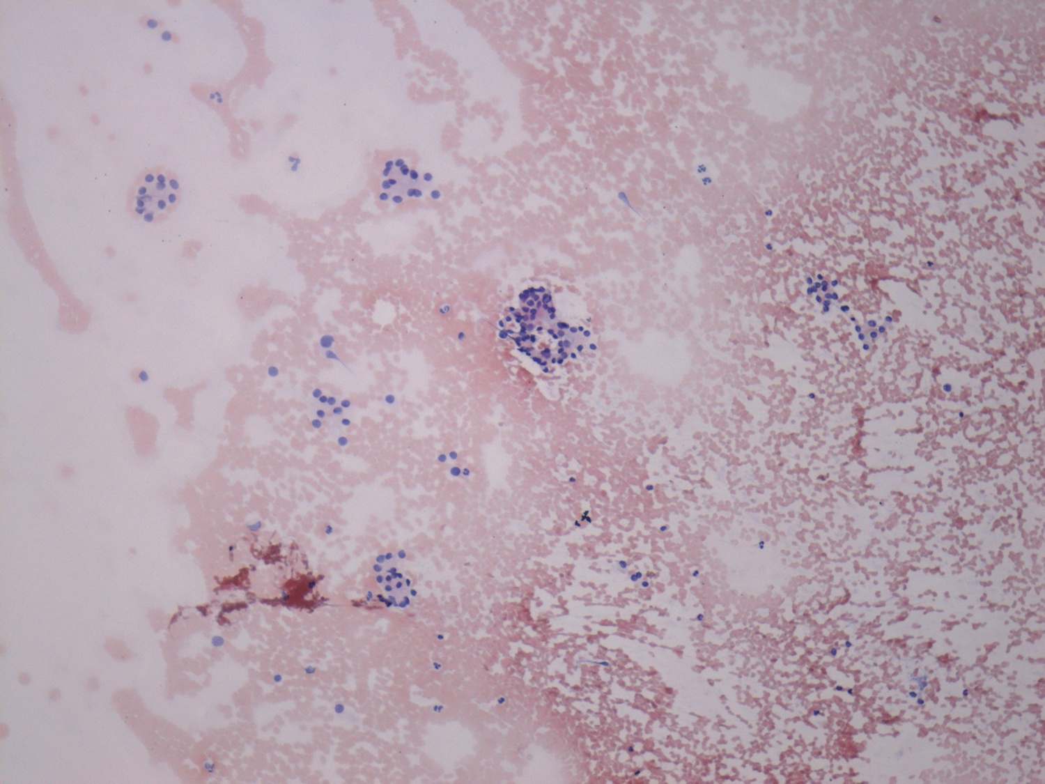
The role of complex diagnosis - follow-up of follicular lesions - Case 8. (cytologic picture 1)
Pap-smear, 100x. There is no colloid in the background. Follicular cells occur predominantly in micro- and normofollicles.