Menu
Case histories
Lectures
A new approach
List of cases
Videorecords
Pitfalls
Course book
Course on US
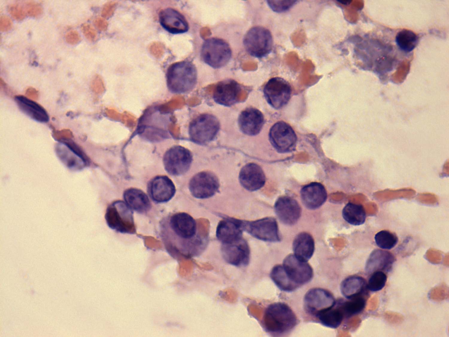
The role of complex diagnosis - follow-up of follicular lesions - Case 8. (cytologic picture 6)
Pap-smear, 1000x. Follicular cells are evenly distributed.