Graves' disease - Case 11.
Initial investigation (cytologic picture 1)
|
|
|
|
|
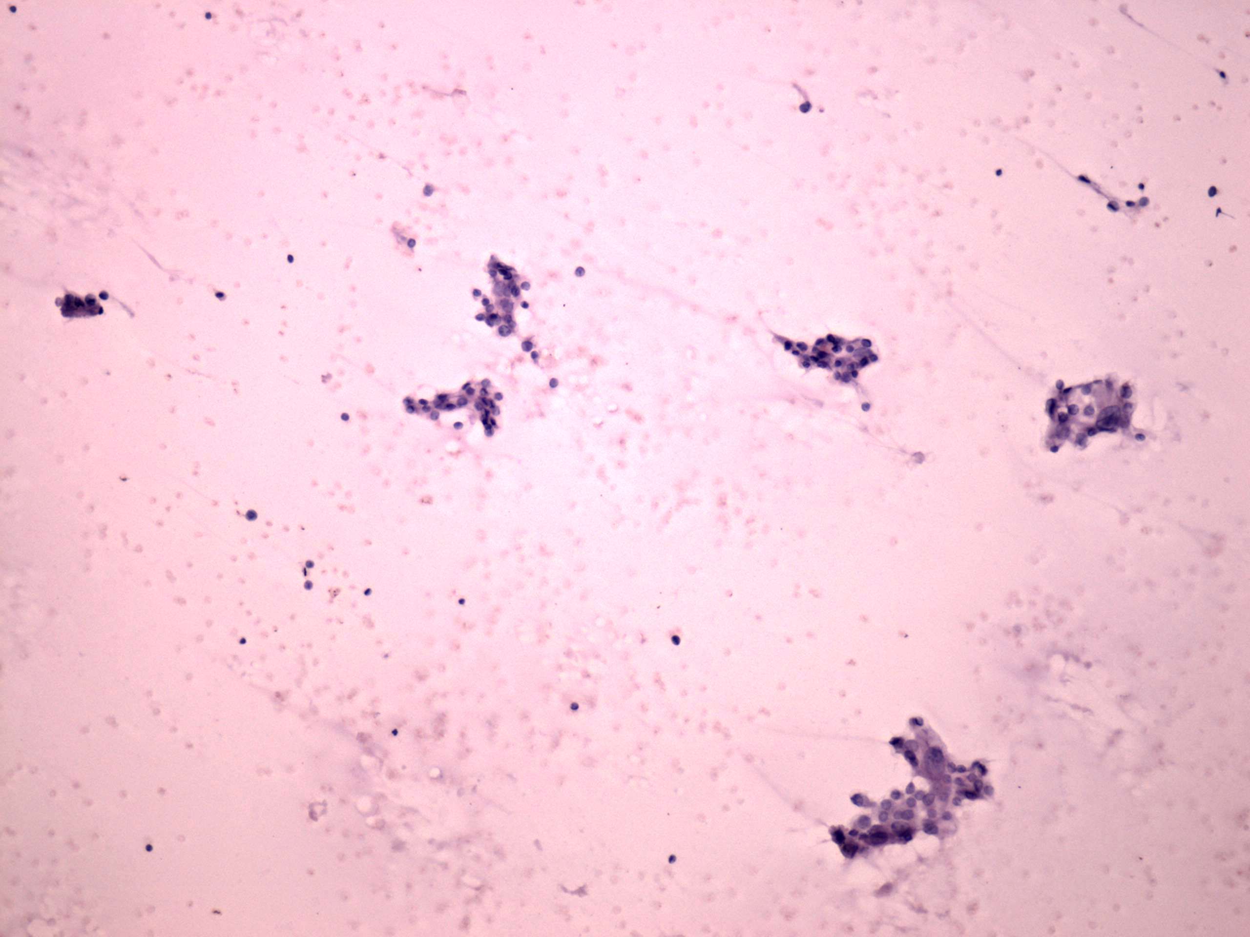
Pap-smear, 100x. There is no colloid in the background. Follicular cells occur in small compact clusters.

