Menu
Case histories
Lectures
De Quervain's thyroiditis
List of cases
Videorecords
Pitfalls
Course book
Course on US
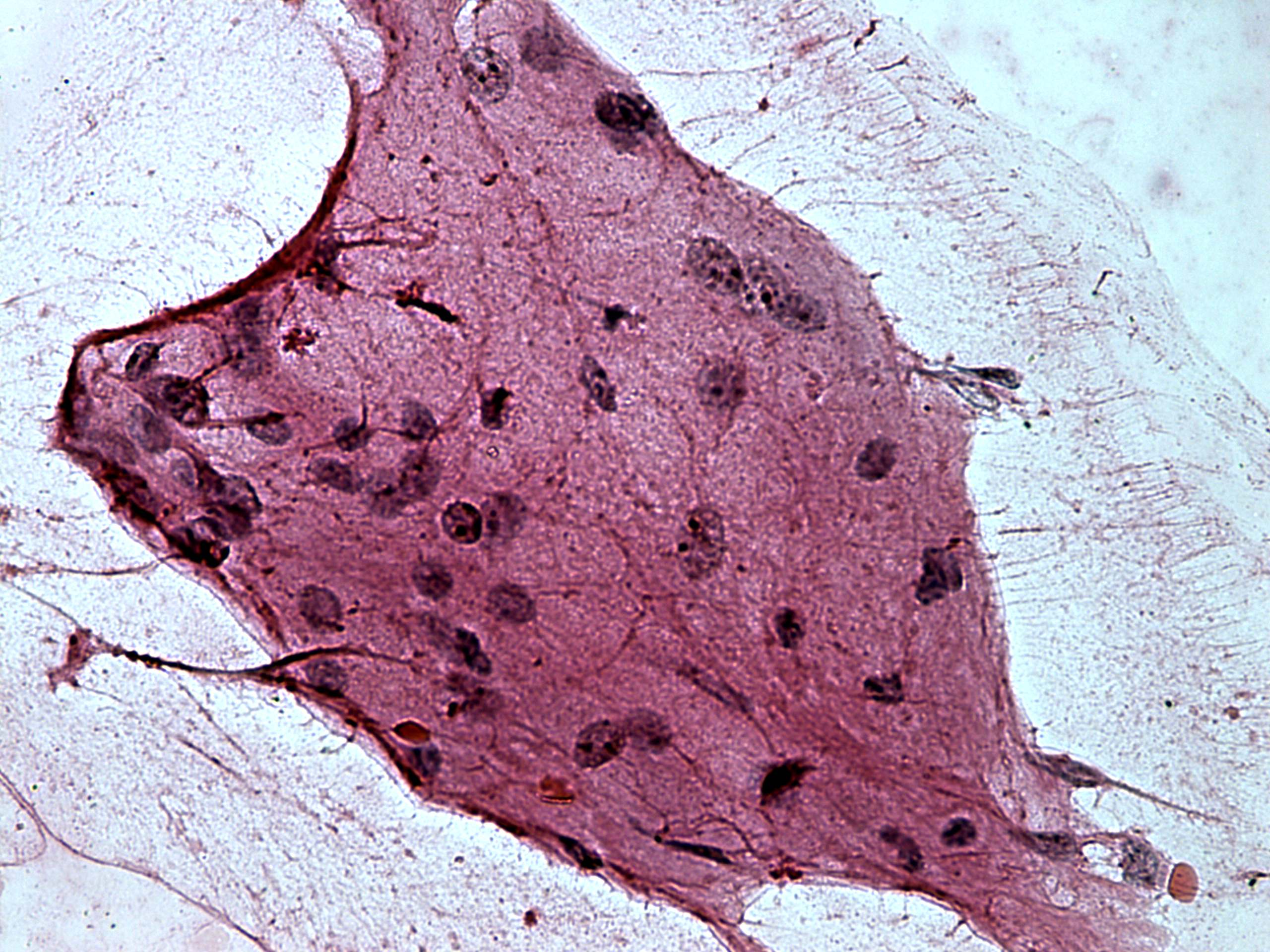
Subacute granulomatous de Quervain's thyroiditis - Case 43. (cytologic picture 5)
Pap-smear, 100
x. A multinucleated cell composed of degenerated follicular cells.