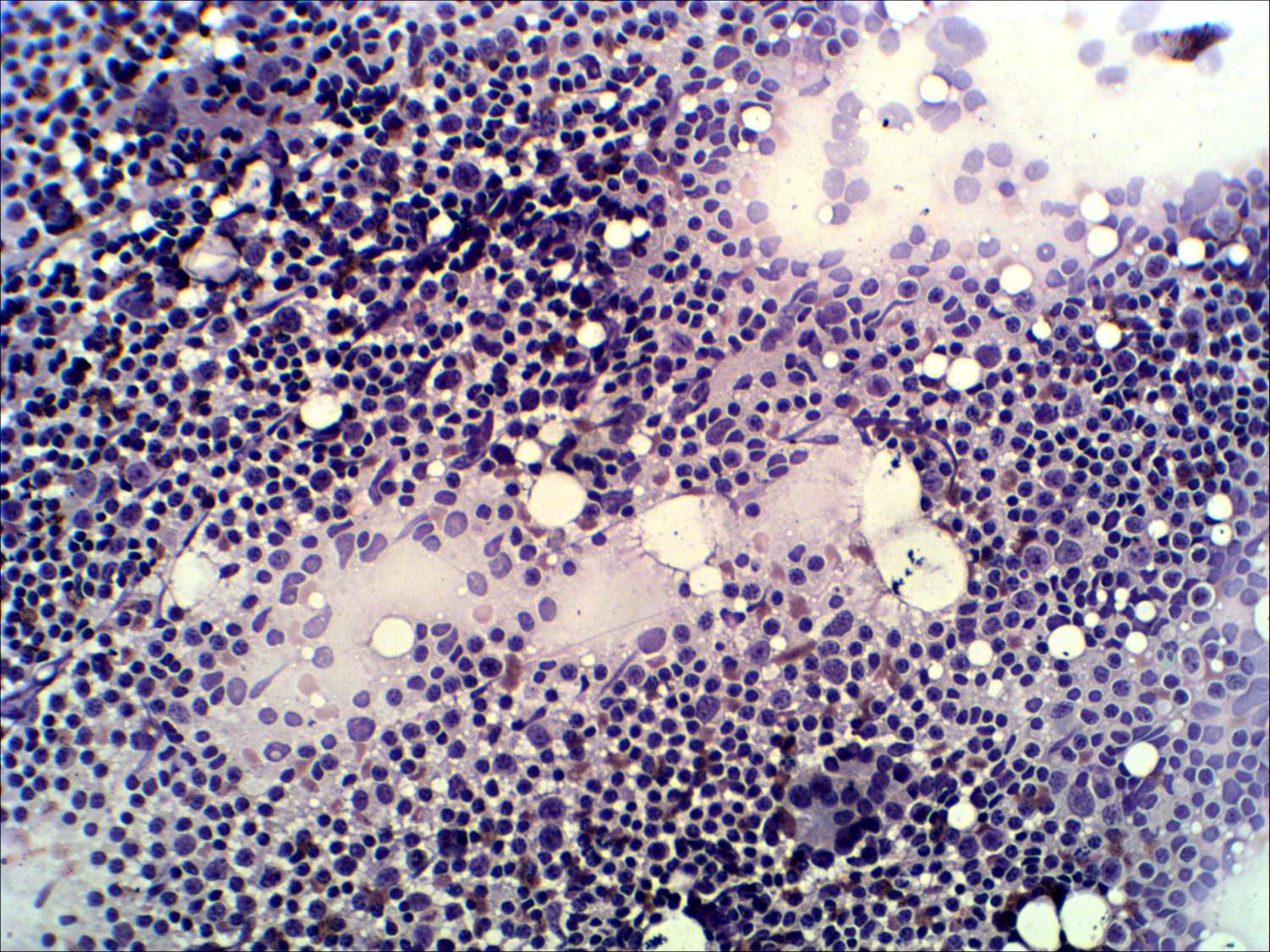
Pap-smear, 200x. Clusters of follicular cells showing oxyphilic metaplasia mixed with lymphoid cells.