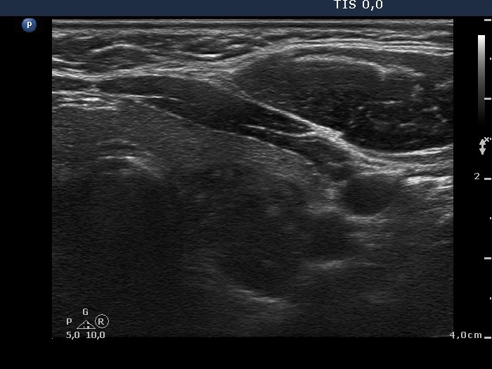
Chronic lymphocytic thyroiditis - Case 45. (ultrasonographic picture 3)
|
|
|
|
Left lobe, horizontal scan. There is a large hyperechogenic lesion with irregular borders in the dorsal part of the thyroid.
