Menu
Case histories
Lectures
Follicular adenoma
List of cases
Videorecords
Pitfalls
Course book
Course on US
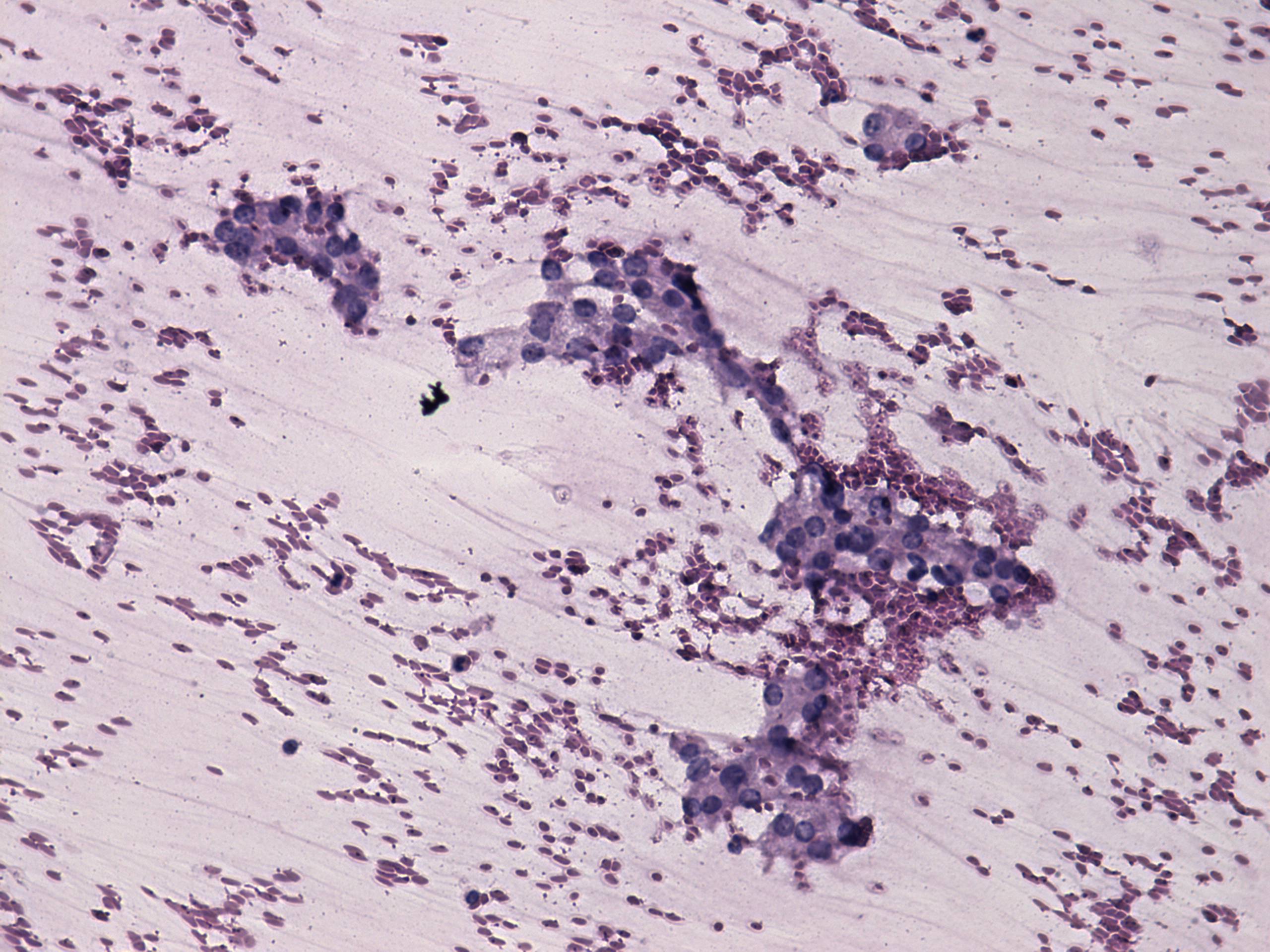
Follicular adenoma - Case 27. (cytologic picture 2)
Pap-smear, 200x. Small clusters composed of microfolliculi.