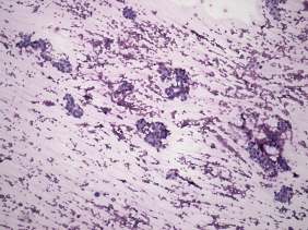
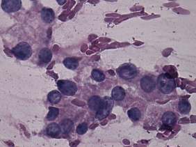
Follicular adenoma - Case 27. |
|
Clinical data: a 51-year-old woman with a nodule known for years.
Palpation: a moderately firm nodule in the left lobe.
Functional state: euthyroidism with TSH-level 1.08 mIU/L.
Ultrasonography: a solitary hypoechogenic nodule in the left lobe without a halo sign on gray scale mode. Doppler method disclosed perinodular vascularization.
Cytological report: follicular tumor.
Histopathology: microfollicular adenoma.









