Menu
Case histories
Lectures
Medullary cancer
List of cases
Videorecords
Pitfalls
Course book
Course on US
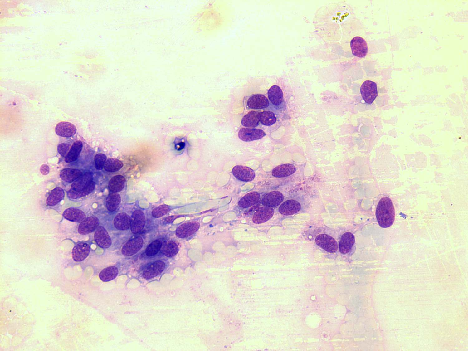
Medullary carcinoma - Case 18. (cytologic picture 5)
Wright-Giemsa staining, 400x. Naked, partly spindle cells.