Medullary carcinoma - Case 18. |
|
Clinical presentation. A 47-year-old woman requested a second opinion. She was operated on the suspicion of papillary carcinoma for 6 weeks in another institute. A total thyroidectomy was performed and final histopathology disclosed medullary carcinoma. She was told to have to undergo on regular follow-up examinations.
Palpation: no abnormality.
Functional state: euthyroidism on daily 150 microgram levo-tiroxine.
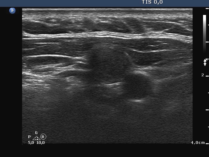
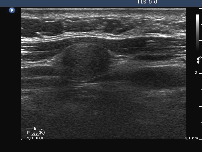
Ultrasonography: there was no parenchyma in the thyroid beds. Lateral to the right lobe there were several enlarged lymph nodes.
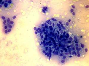
Cytological diagnosis: medullary carcinoma.
We performed blood test for calcitonin. The serum-level of calcitonin was 8.08 pM/L (normal value: 0-3.36).
The patient was reoperated. The lymph nodes of the neck were removed even in the medial compartment. Histopathology disclosed in two of them medullary cancer.












