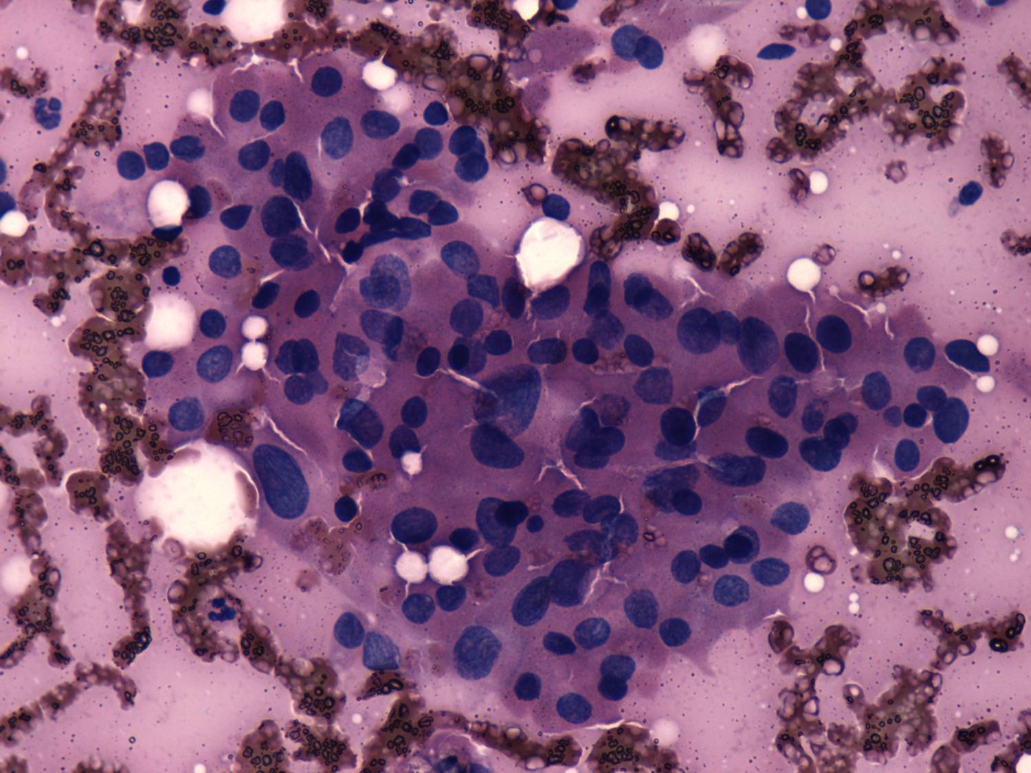
Ethanol sclerotherapy: other examples - Case 2: treatment of a recurrent nodule
Initial investigation in 2003 (cytologic picture 6)
|
|
|
|
|
Pap-smear, 400x. Marked anisonucleosis.

