Ethanol sclerotherapy: other examples - Case 2: treatment of a recurrent nodule |
|
Examination in 2003 (1st and 2nd rows of images):
Clinical presentation: a 30-year-old woman was referred for an evaluation of a nodular goiter discovered by herself.
Palpation: both lobes were nodular.
Functional state: euthyroidism with TSH 2.19 mIU/L.
Ultrasonography: the thyroids were echonormal. There was a moderately hypoechogenic nodule with blurred borders in the right, while a minimally hypoechogenic lesion displaying halo sign in the left lobe.
Aspiration cytology was performed from both nodules and resulted in Hürthle-cell tumor in the case of the left nodule.
Subtotal lobectomy and lobectomy were performed, right and left lobe, respectively.
Histopathology: disclosed benign, hyperplastic nodules with Hürthle-cell changes in both lobes.
Examination in 2011:
Clinical presentation: the patient was treated by another endocrinologist after surgery. The patient was well and euthyroid on daily 87.5 microgram levo-tiroxine replacement therapy. She noticed a lump in her right thyroid for 3 months. She was advised to undergo repeated surgical procedure.
Palpation: a firm nodule in the right lobe.
Functional state: euthyroidism with TSH 0.74 mIU/L.
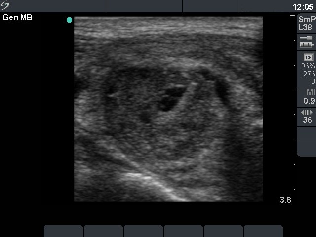
Ultrasonography disclosed a nodule with hypoechogenic, hyperechogenic and cystic parts in the right thyroid. The nodule presented a type 3 vascular pattern.
Aspiration cytology: benign, colloid goiter.
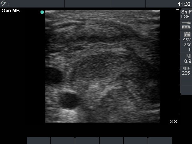
Sclerotherapy and subacute-granulomatous thyroiditis-like reaction after 2nd session (3-5. rows of images):
Instead of repeated surgery, we advised ethanol sclerotherapy. Two sessions of treatment are demonstrated. The day after the second sclerotherapy a painful lump evolved in the right lobe and the patient had fever. We advised steroid therapy which resulted in prompt amelioration of the complaints.
Follow-up investigations (6-8. rows of images):
Six weeks after the two sessions of therapy the nodule presented a dramatic decrease in size and decreased further in the next two years.
Comments.
-
This case is also presented among rare forms of thyroiditis - case 6.
-
It is worth analyzing the cytological images. This case illustrates that in certain cases it is not possible to discriminate between a Hürthle-cell tumor and a hyperplastic nodule with extensive oxyphilic metaplasia. The lack of prominent nucleoli was the only cytological sign favoring the latter possibility.
-
We don't know the exact mechanism of a subacute granulomatous thyroiditis-like reaction after sclerotherapy. Nevertheless, the clinical and sonographic presentation, moreover the prompt effect of steroid therapy is identical with that observed in the case of de Quervain's thyroiditis. This reaction has a favorable result: in most if not all of the cases, a dramatic shrinkage of the nodule occurs without further sessions of sclerotherapy.































