Ethanol sclerotherapy: other examples - Case 2: treatment of a recurrent nodule
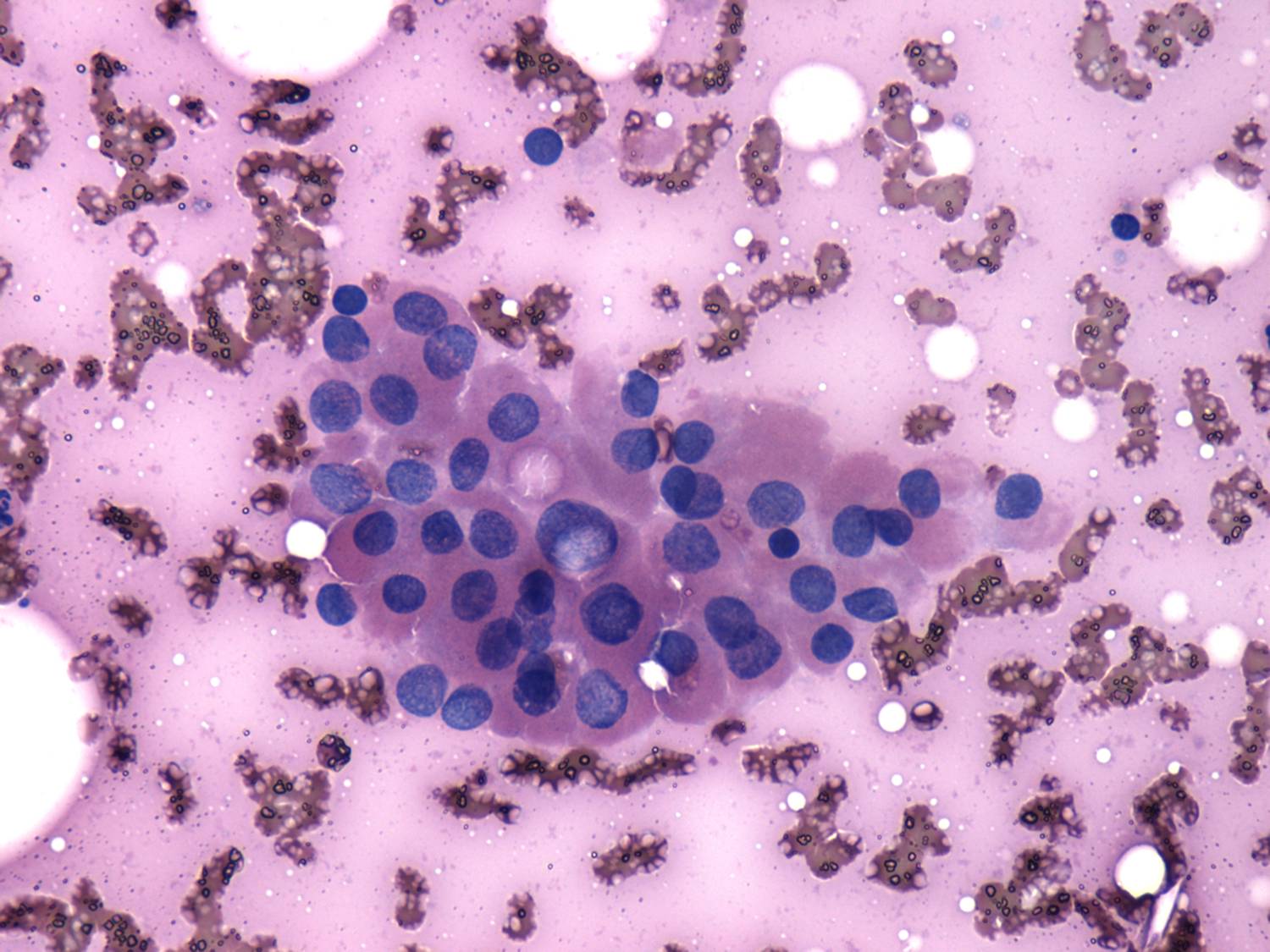
Initial investigation in 2003 (cytologic picture 3)
|
|
|
|
|
Pap-smear, 400x. Follicular cells display oxyphilic metaplasia.

