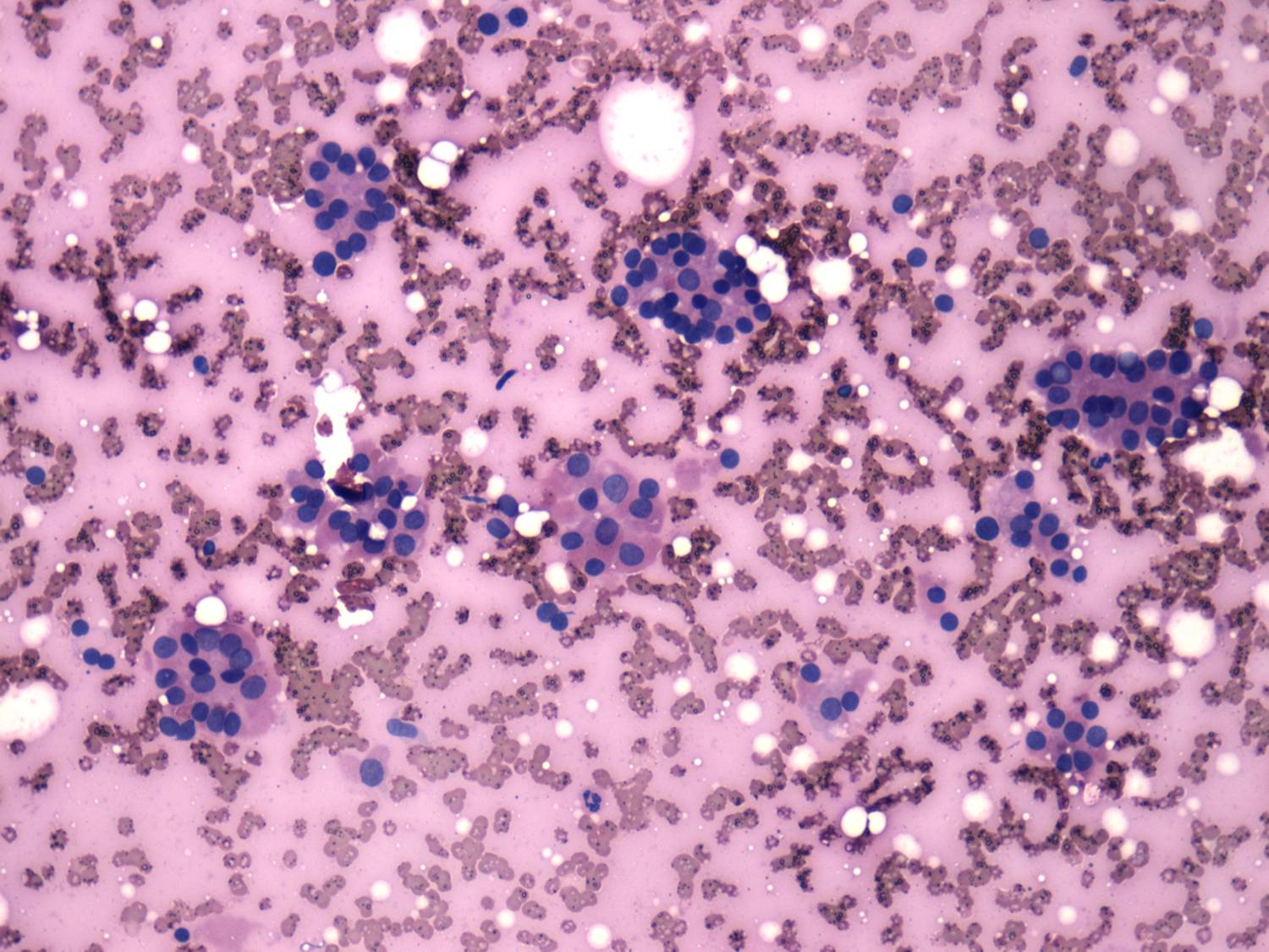
Ethanol sclerotherapy: other examples - Case 2: treatment of a recurrent nodule
Initial investigation in 2003 (cytologic picture 2)
|
|
|
|
|
Pap-smear, 200x. A microfollicular growth pattern.

