Ethanol sclerotherapy: thyroid cysts - Case 2 |
|
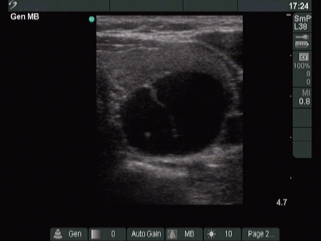
Clinical presentation: a 40-year-old woman was sent for ethanol sclerotherapy. Her thyroid cyst was evacuated three times but after each occasion the cyst got refilled within a week. FNAC resulted in a benign cystic lesion.
First row: before the first session of sclerotherapy. There was a cystic nodule in the left lobe with the dimensions of 32x27x42 mm (width x depth x length). 5 sessions of ethanol sclerotherapy was administered.
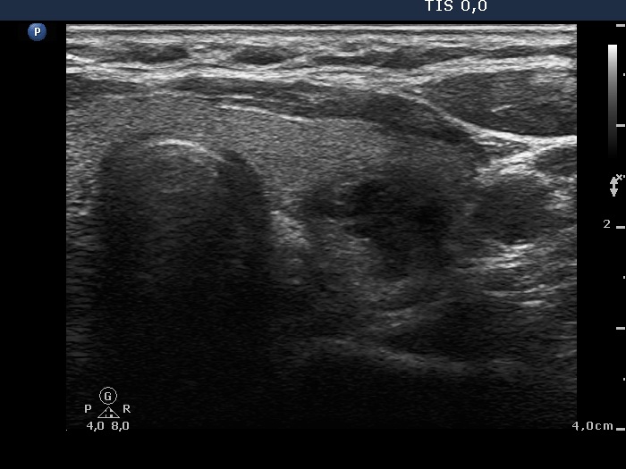
Second row: 6 weeks after the last session. The dimensions of the nodule were 15x18x18 mm (width x depth x length).
Third row: 19 months after sclerotherapy. The dimensions of the nodule were 15x14x19 mm (width x depth x length).









