|
|
Ethanol sclerotherapy: thyroid cysts - Case 1 |
|
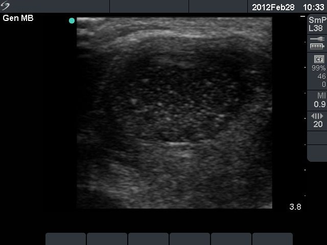
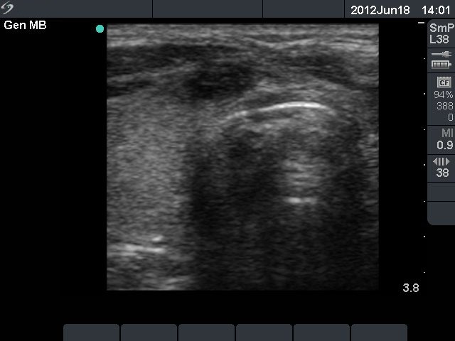
Clinical presentation: a 48-year-old man with repeatedly aspirated and recurred thyroid cyst causing complaints. There was a large nodule in the isthmic part of the thyroid. FNAC resulted in benign lesion.
First row: ultrasonographic picture before sclerotherapy. The size of the lesion was 38x28x39 mm (width x depth x length).
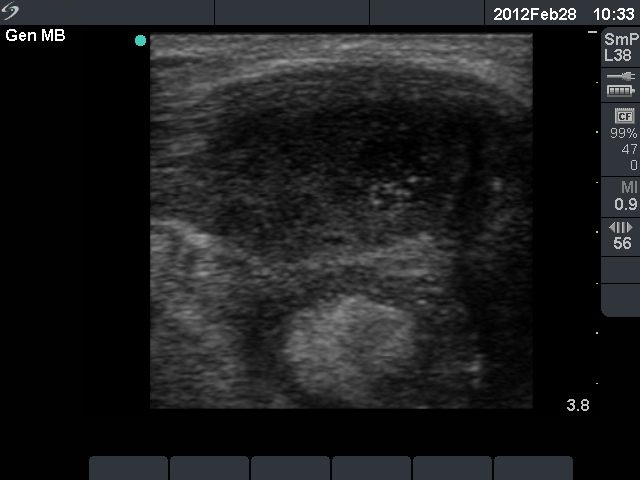
Second row: ultrasonographic picture before the second sclerotherapy. The size of the lesion was 38x28x39 mm (width x depth x length).
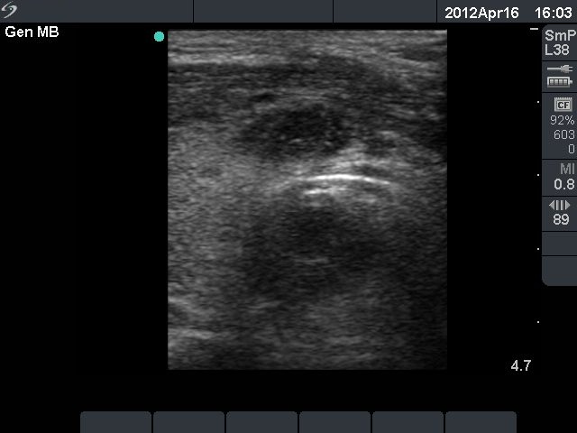
Third row: 3 days after the fourth session of ethanol treatment - the cyst became more enlarged and painful. The body temperature rose to 38.2 C, the erythrocyte sedimentation rate was 50 mm/H.
Ultrasonography: the size of the nodule was 30x25x34 mm, and another hyperechogenic lesion was found dorsal to the treated lesion.
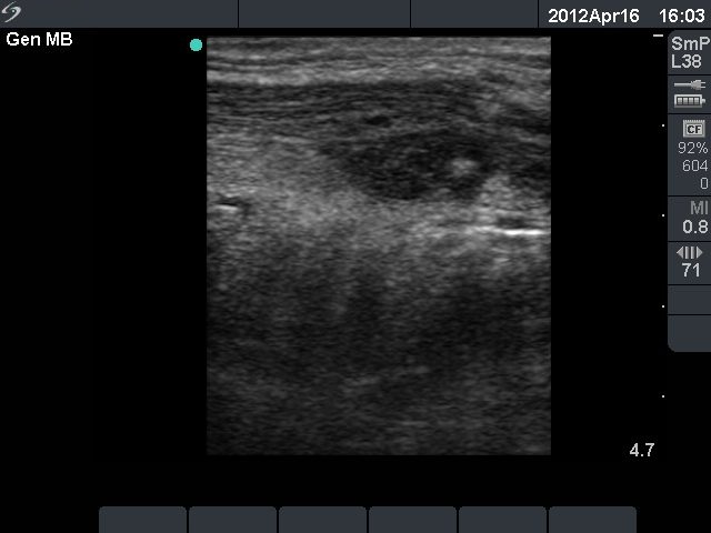
Steroid administration resulted in a prompt amelioration of the clinical symptoms. The steroid was given for 6 weeks in a decreasing dose.
Fourth row (6 weeks later): the size of the lesion was 15x8x19 mm (width x depth x length).
Fifth row (2 months after the previous visit): the size of the lesion decreased further and was 10x6x12 mm (width x depth x length).
Comment: this case history is presented twice, at first here and secondly among rare forms of thyroiditis - Case 7.
















