Menu
Case histories
Lectures
De Quervain's thyroiditis
List of cases
Videorecords
Pitfalls
Course book
Course on US
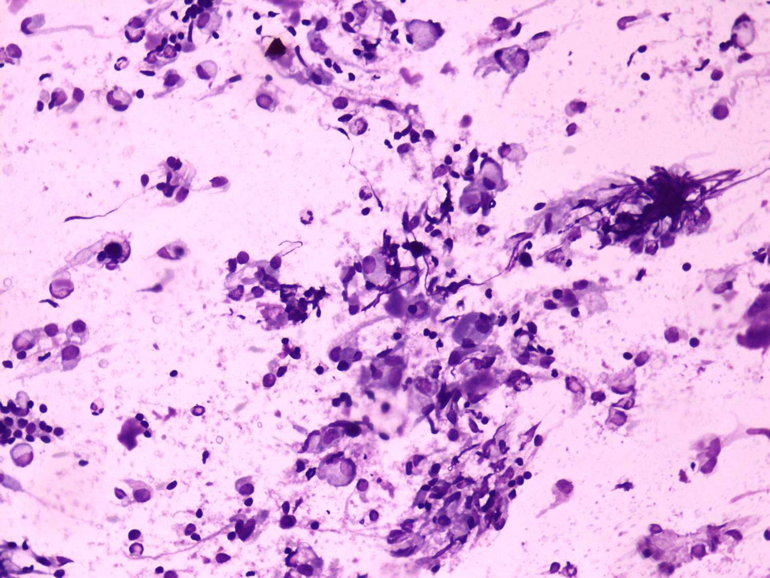
Subacute granulomatous de Quervain's thyroiditis - Case 5. (cytologic picture 5)
Wright-Giemsa staining, 400x. Inflammatory cells, necrotic fragments and follicular cells are presented.