Subacute granulomatous de Quervain's thyroiditis - Case 5. |
|
Initial examination (first and second rows)
Clinical presentation: a 36-year-old woman with a 4 weeks history of weight loss, fever and neck pain. She was referred for evaluation of hyperthyroidism. The general practitioner administered 20 mg methimazole for 10 days before present investigation. The complaints of the patients were unchanged.
Palpation: the left thyroid was painful and hard.
Laboratory tests: elevated sedimentation rate (71 mm/H) and elevated thyroid hormone levels (TSH undetectable, FT4 39.9 pM/L, FT3 11.4 pM/L).
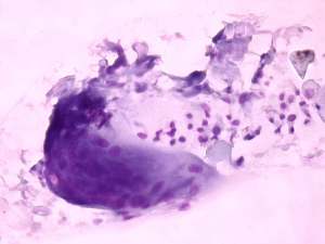
Ultrasonography : the thyroids were echonormal with around 25% echogenicity index. The left lobe contained hypoechogenic areas with blurred borders. The thyroids were avascular.
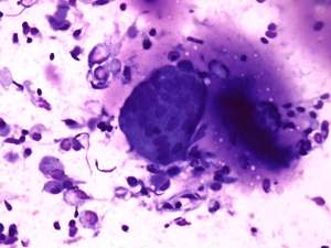
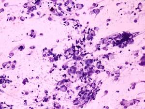
Cytological diagnosis: subacute, granulomatous de Quervain's thyroiditis.
Suggestion: steroid therapy and discontinuation of the thyrostatic agent. Within 24 hours after administration of 32 mg methyl-prednisone, the neck complaints and fever resolved.
6 weeks later (3rd row)
Clinical presentation: the patient had no complaints.
Palpation : no abnormality.
Laboratory tests: normal sedimentation rate (11 mm/H) and hypothyroidism (TSH 4.08 mIU/L, FT4 6.98 pM/L).
Ultrasonography: the proportion of hypoechogenic areas in the right thyroid has decreased while that in the left lobe has completely disappeared. The vascularization has normalized in the right lobe, while was already decreased in the left thyroid but not absent as at first investigation.
.















