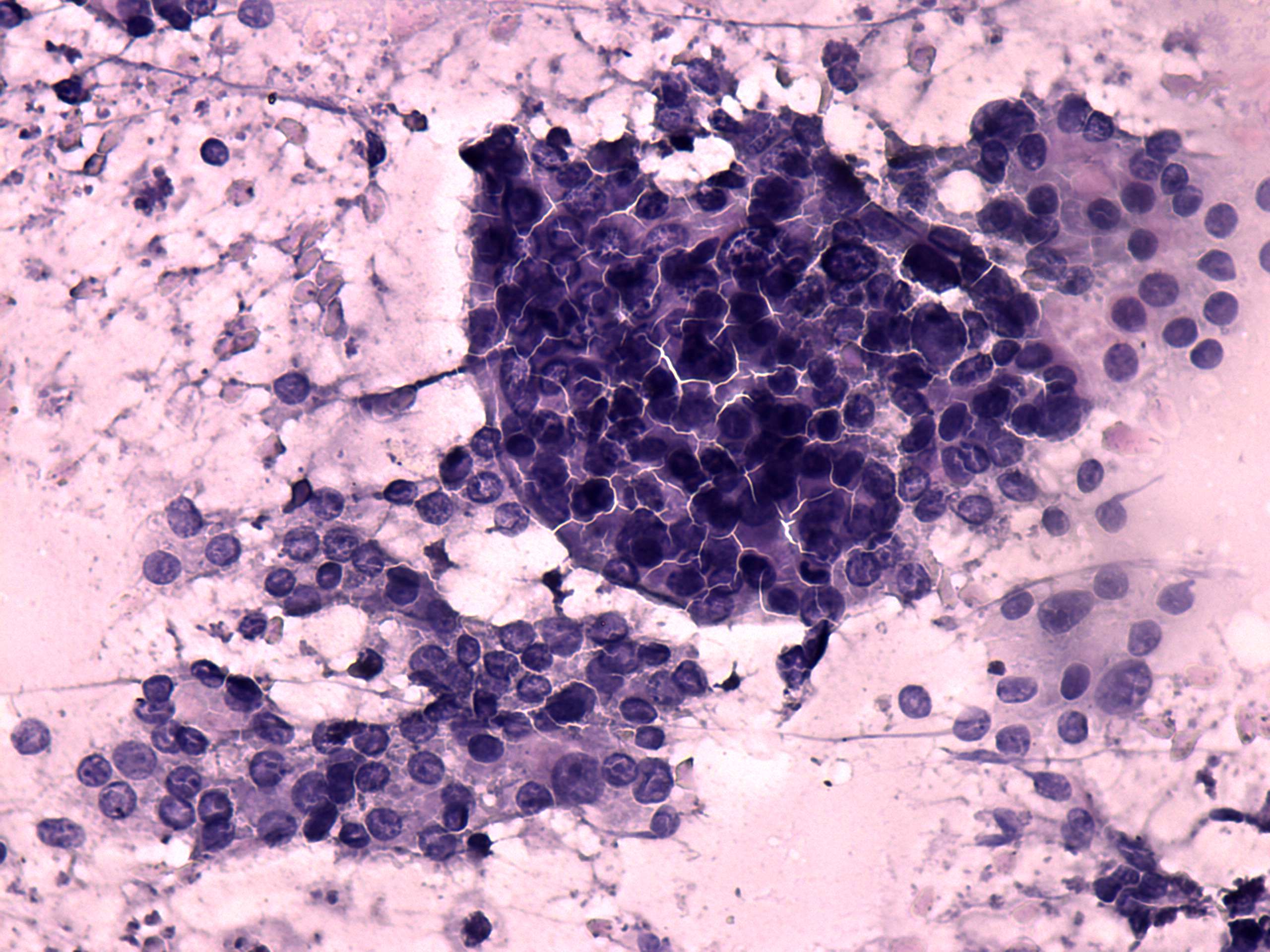
Chronic lymphocytic thyroiditis - Case 38. (cytologic picture 5)
|
|
|
|
Pap-smear, 400x. The cell groups are composed of thyrocytes mixed with a few lymphoid cells. Follicular cells exhibit occasionally prominent nucleoli, but do not show significant atypia.

