Chronic lymphocytic thyroiditis - Case 38. |
|
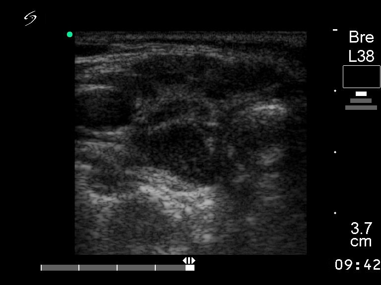
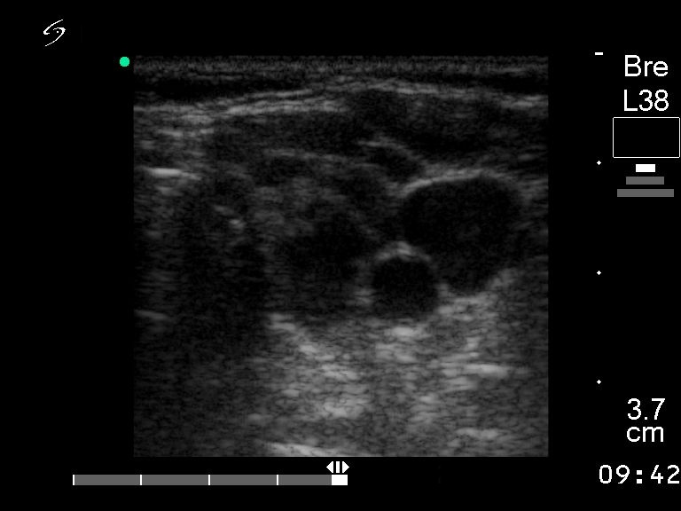
First examination (first and second rows of images):
Clinical presentation: a 55-year-old woman with hypothyroidism replaced with 50 ug levo-tiroxin.
Functional state: euthyroidism.
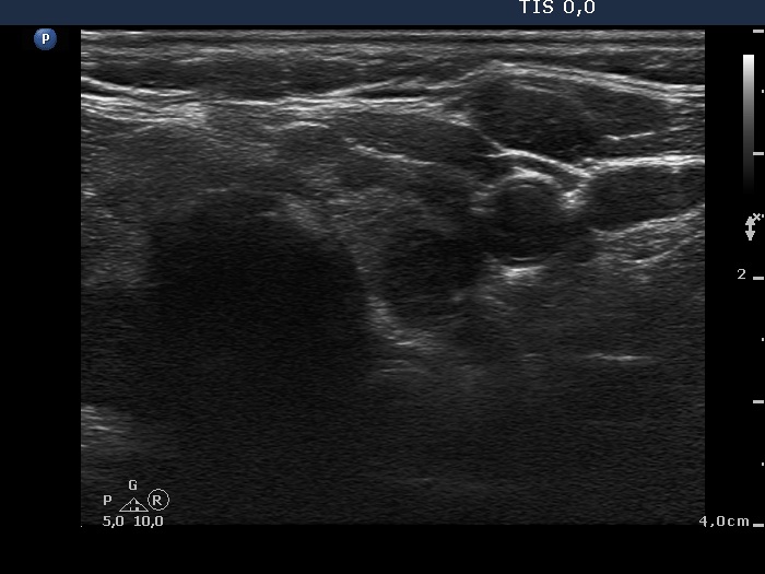
Ultrasonography: the echogenicity index is around 50% in both lobes. The circumscribed lesions are not nodules. Previous US diagnosis was multinodular goiter.
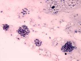
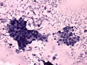
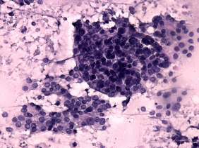
Combined ultrasound-cytological report : benign Hashimoto's thyroiditis.
Follow-up examination 5 years later (third row of images):
Clinical presentation: the replacement therapy had been stopped for two years because the patient's cardiologist suspected the levo-tiroxine treatment worsening hypertension.
Functional state: euthyroidism (TSH 4.08 mIU/L).
Ultrasonography: the size, the echo pattern of the thyroid, i.e. the echogenicity index, the location of hypoechogenic fields were almost identical to that seen for 5 years.
Suggestion TSH-test every year.













