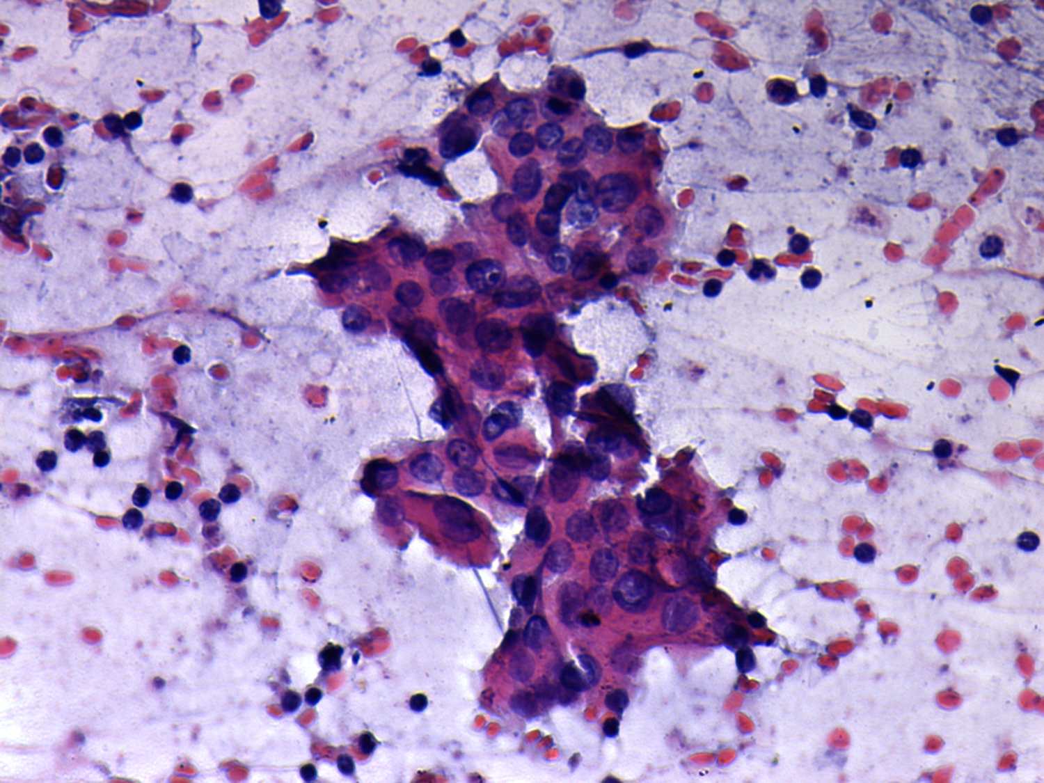
Chronic lymphocytic thyroiditis - Case 39. (cytologic picture 5)
|
|
|
|
Pap-smear, 400x. Follicular cells present oxyphilic metaplasia. A few atypical, even pleomorphic forms can be identified.

