Other rare tumors and non-thyroidal lesions in the region of the thyroid - Case 14.Lipoma in the region of the thyroid |
|
Clinical data: a 56-year-old woman was referred for an evaluation of a mass in the thyroid region. The patient first noticed this lesion for 10 years. The mass slowly increased in size in the past decade.
Palpation: a soft lesion in the middle of the neck.
Functional state: euthyroidism.
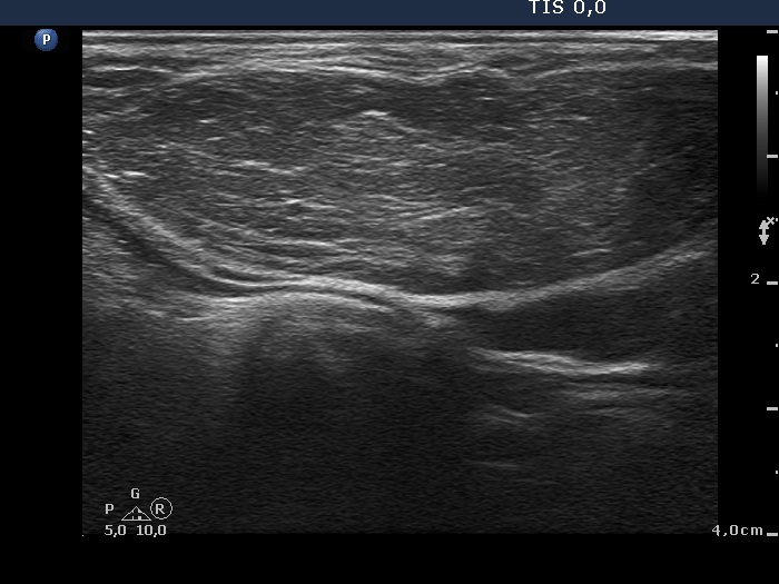
Ultrasonography: the thyroids were echonormal and contained no discrete lesion. According to the palpable mass a large, moderately hypoechogenic lesion was found with pronounced fibrosis. The lesion presented a type 1 vascular pattern.
Diagnosis: lipoma in the neck.
The mass caused cosmetic problems and the patient wished the lipoma to be removed. Histopathology disclosed benign adenolipoma.





