Menu
Case histories
Lectures
Lymphocytic thyroiditis
List of cases
Videorecords
Pitfalls
Course book
Course on US
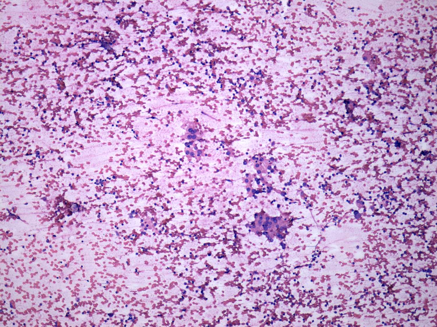
Chronic lymphocytic thyroiditis - Case 2. (cytologic picture 1)
Pap-smear, 100x. Heterogeneous lymphoid cell population with groups of oxyphilic cells.