Chronic lymphocytic thyroiditis - Case 2. |
|
Clinical data: a 29-year-old woman was referred for an evaluation of a "suspicious nodule". She was examined on infertility. An elevated aTPO was found and a hyperechogenic nodule with microcalcification was described. FNAC was not diagnostic and surgery was advised.
Palpation: both thyroids were firm. No nodule was palpable.
Functional state: subclinical hypothyroidism with TSH 5.21 mIU/L, FT4 13.8 pM/L, aTPO 207 U/mL.
Ultrasonography: both thyroids were hypoechogenic with fibrotic changes. Based on the previously described "nodule", the fibrotic changes were more pronounced. This area did not fit a nodule.
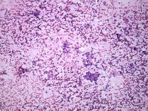
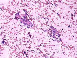
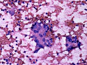
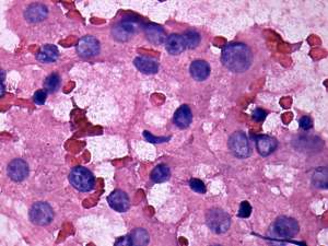
FNAC disclosed Hashimoto's thyroiditis.










