Menu
Case histories
Lectures
Lymphocytic thyroiditis
List of cases
Videorecords
Pitfalls
Course book
Course on US
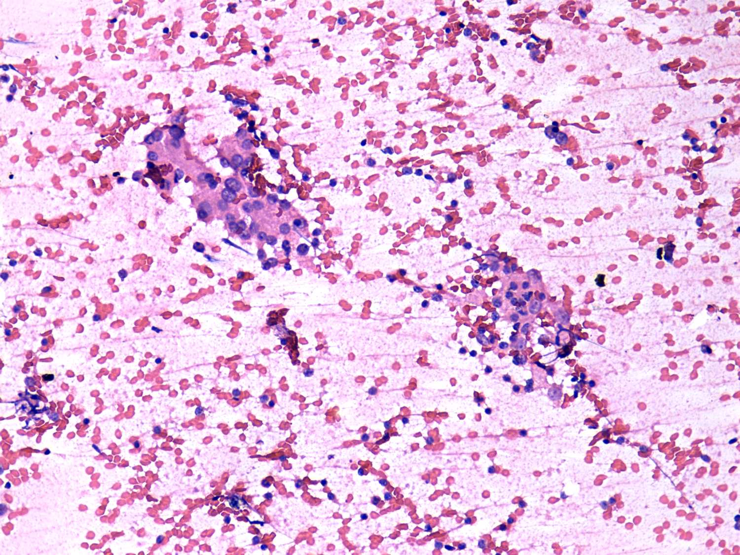
Chronic lymphocytic thyroiditis - Case 2. (cytologic picture 3)
Pap-smear, 200x. Two groups of oxyphilic cells forming normofollicles.