Ethanol sclerotherapy: non-toxic solid nodules - Case 5 |
|
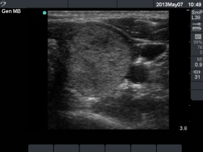
First session of sclerotherapy (1st row of images)
Clinical presentation: a 27-year-old woman was referred for evaluation of a multinodular goiter. The lesion in the left lobe has increased in the past two years and caused neck discomfort.
Palpation: a not firm nodule in the left lobe.
Functional state: euthyroidism with TSH 0.93 mIU/L, FT4 14,3 pM/L.
Ultrasonography: the thyroids were echonormal. There was a small lesion with a maximal diameter of 7 mm in the right lobe and a larger nodule in the left lobe. Both were echonormal.
Aspiration cytology resulted in benign colloid goiter.
We suggested surgery because of the compression signs. The patient told us that she is a cook in a seafarer and she has the opportunity to miss from the work only for a couple of weeks in the subsequent years. We advised ethanol sclerotherapy. Six sessions of ethanol was given. A total amount of 13.7 mL ethanol was administered in six session in 5 weeks.
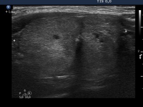
Six months after the therapy (second row of images):
Clinical presentation: the complaints of the patient have disappeared and she did not feel the lesion in the left lobe.
Palpation: the lesion in the left lobe became non-palpable.
Ultrasonography the volume of the treated nodule decreased to less than one-quarter of the original size.
Functional state: euthyroidism with TSH 1.56 mIU/L.
Ten years after the therapy (third row of images):
Clinical presentation: the patient was investigated 3-times in the previous years. Both the treated nodule in the left lobe and the lesion in the right thyroid gradually increased in size. The volume of the former was below 40% of the pretreatment figure in all three occasions. At this time the patient had still no complaints.
Palpation: not firm nodules in the thyroid, one in the middle part of the right lobe and another one in the left lobe.
Ultrasonography. There was a moderately hypoechogenic nodule in the right lobe with the dimensions of 21x13x23 mm. The volume of the treated nodule increased to 59% of the original size.
Functional state: euthyroidism with TSH 1.19 mIU/L.
Twelve years after the therapy (fourth row of images):
Clinical presentation: unchanged.
Palpation: unchanged.
Ultrasonography the volume of the right nodule remained unchanged. Corresponding to the treated nodule two echonormal, inhomogeneous lesions were found. The sum of the volume of these lesions was below 50% of the original size.
Functional state: euthyroidism with TSH 1.41 mIU/L.
Fourteen years after the therapy (fifth row of images):
Clinical presentation: no complaints.
Palpation: unchanged.
Ultrasonography. Both the nodule in the right lobe and the treated lesion in the left lobe increased further, the dimensions of the former were 22x16x28 m while the volume of the nodular area in the left lobe was 58% of the original size.
Functional state: euthyroidism with TSH 1.56 mIU/L.
Comments.
-
There is no garantee of a final success of ethanol sclerotherapy if the size of the treated nodule remains significantly lower even 5 to 10 years after the therapy because ethanol sclerotherapy is not able to cause a complete necrosis. It is well-known that there is great capability of the thyroid to regenerate.
-
This patient is a candidate of a total thyroidectomy. It means that the sclerotherapy was unsuccessful. Nevertheless, the patient gained so far 14 years, she did not lose her job, she delivered two children without any thyroid medications.
- Now, we do not apply ethanol to solid nodules except for certain special cases, i.e. patients with high risk of anesthesia, recurrent nodules, pregnant patients and patients whome a recurrent nerve or superior lkaryngeal nerve damage led to loosing their profession for.















