Menu
Case histories
Lectures
Ethanol sclerotherapy
List of cases
Videorecords
Pitfalls
Course book
Course on US
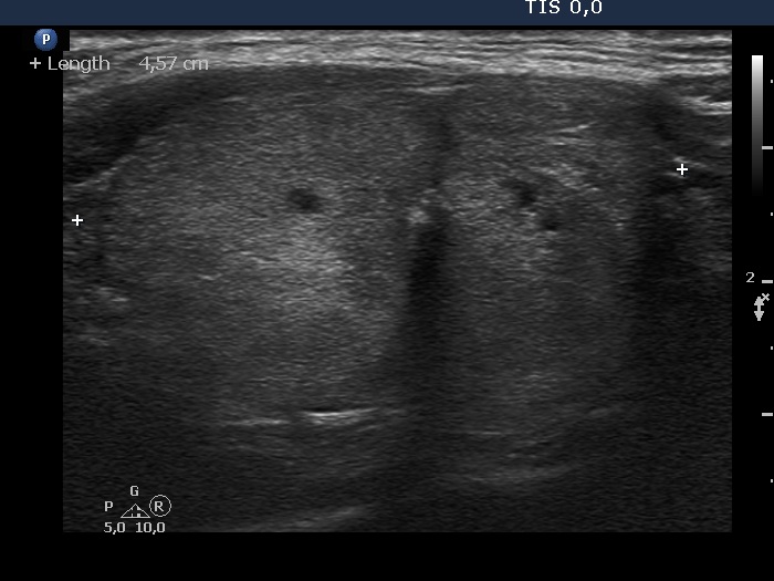
Ethanol sclerotherapy: non-toxic solid nodules - Case 5
Fourteen years after the therapy (ultrasonographic picture 6)
Middle part of the left lobe, longitudinal scan.