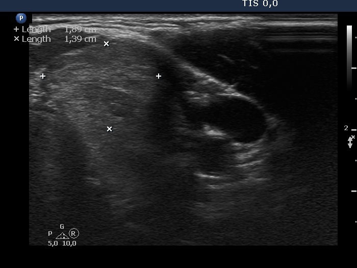
Ethanol sclerotherapy: non-toxic solid nodules - Case 5
Fourteen years after the therapy (ultrasonographic picture 3)
|
|
|
Upper part of the left lobe, horizontal scan. The upper part of the previously treated nodule did not change in size.
