Menu
Case histories
Lectures
A new approach
List of cases
Videorecords
Pitfalls
Course book
Course on US
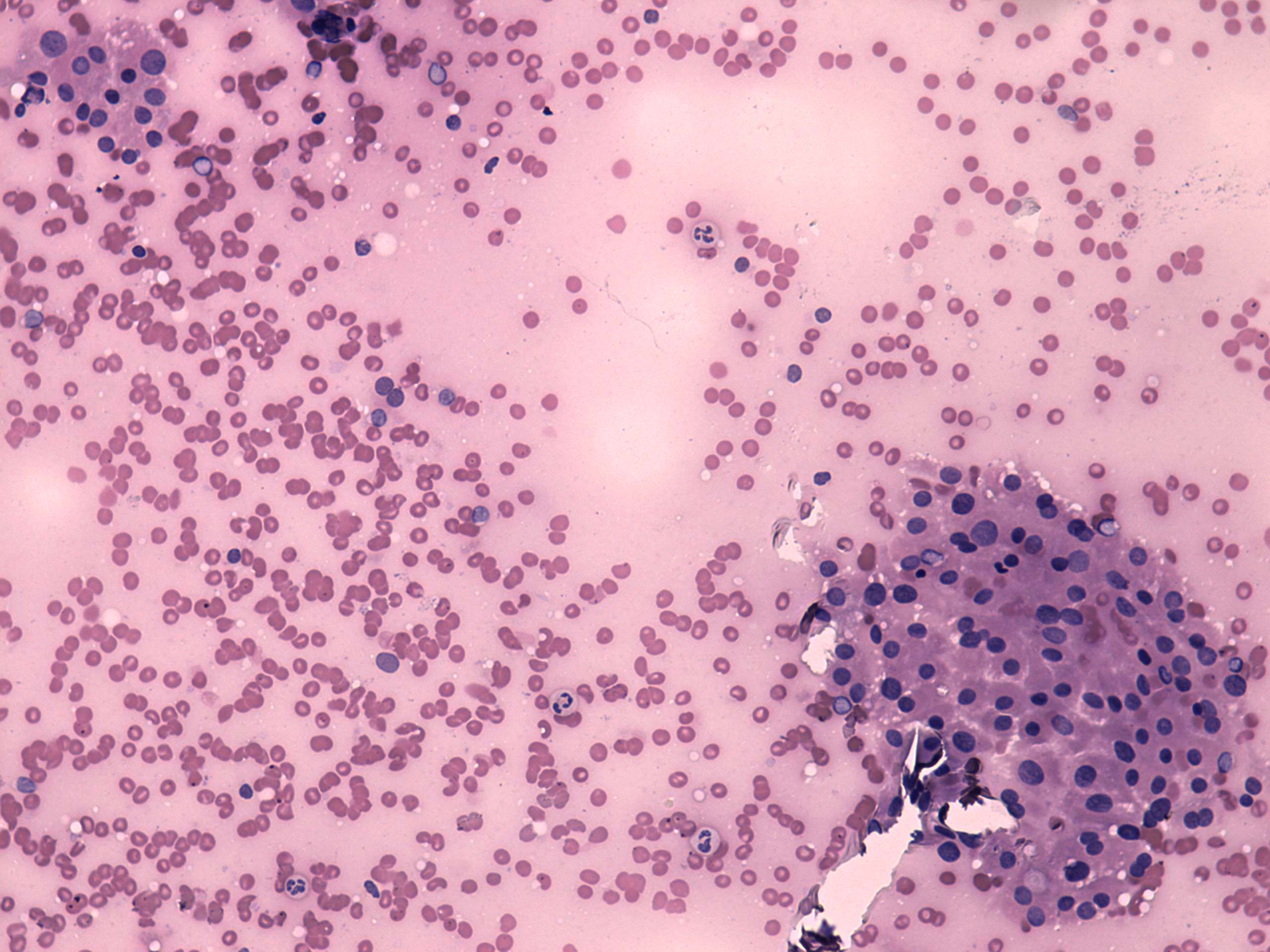
The role of complex diagnosis - oxyphilic lesions - Case 6. (cytologic picture 2)
Pap-smear, 200x. An oxyphilic cell group is presented.