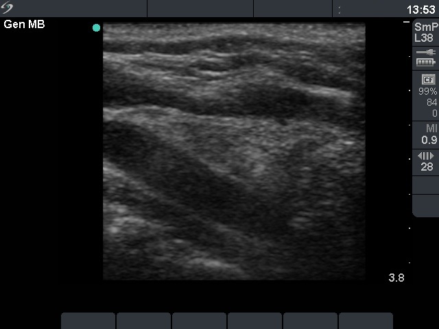
The role of complex diagnosis - oxyphilic lesions - Case 6. (ultrasonographic picture 2)
|
|
|
|
Right lobe, longitudinal scan. The moderately hypoechogenic areas are signs of the underlying lymphocytic thyroiditis.
