Menu
Case histories
Lectures
Follicular adenoma
List of cases
Videorecords
Pitfalls
Course book
Course on US
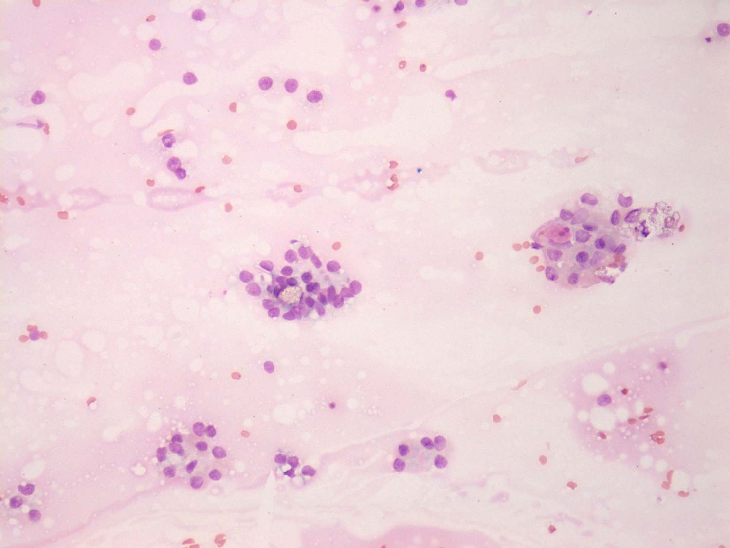
Follicular adenoma - Case 6. (cytologic picture 3)
Wright-Giemsa staining, 200x. Follicular cells are uniform size and shape.