Rare forms of thyroiditis - Case 7: Subacute thyroiditis-like reaction after ethanol sclerotherapy |
|
Before sclerotherapy (first row):
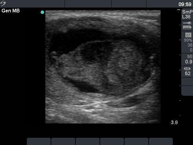
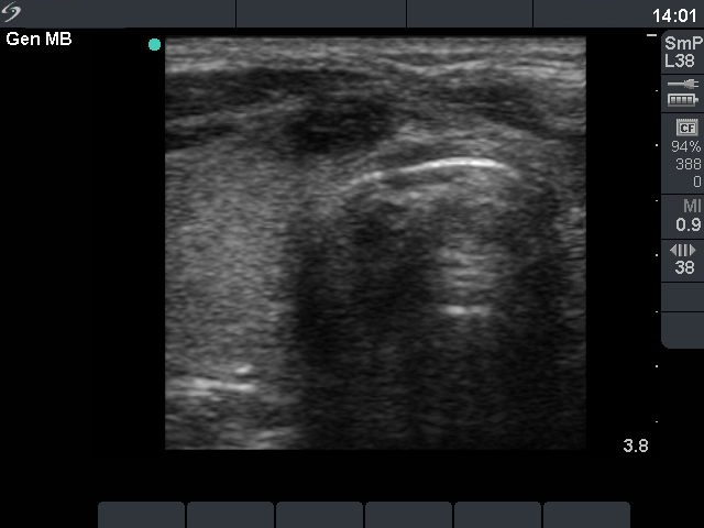
Clinical presentation: a 48-year-old man with repeatedly aspirated and recurred thyroid cyst causing complaints.
Palpation: there was a large nodule in the isthmic part of the thyroid.
Ultrasound. The size of the lesion was 38x28x39 mm (width x depth x length).FNAC resulted in a benign lesion.
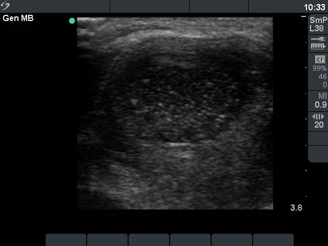
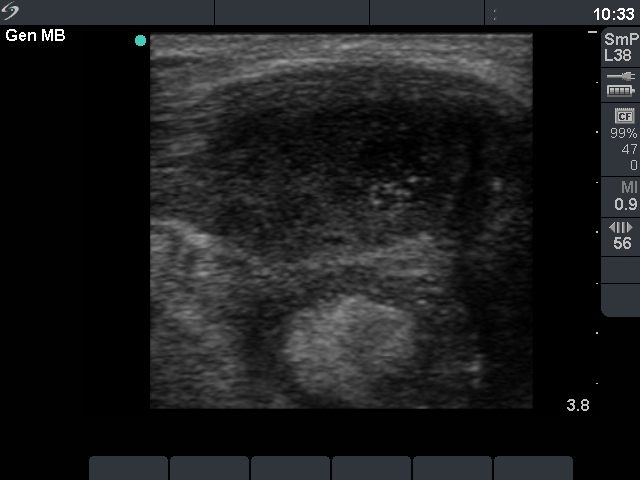
Three days after the fourth session (second row):
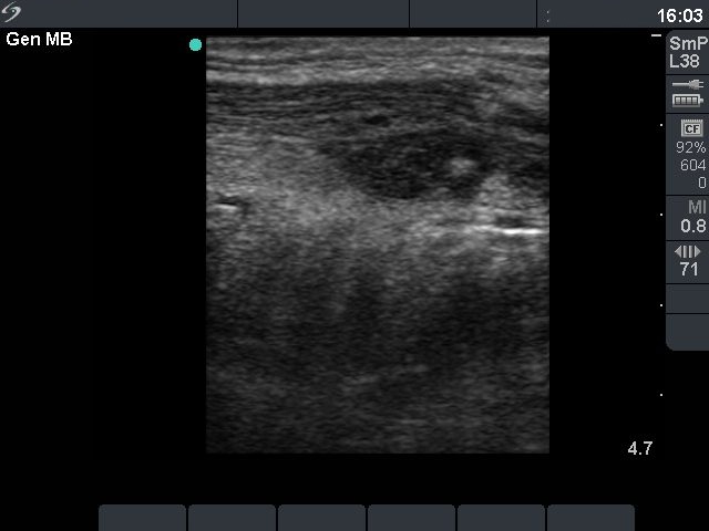
Clinical presentation: 3 days after the fourth session of the ethanol treatment: the cyst became more enlarged and painful. The body temperature rose to 38.2 C, the erythrocyte sedimentation rate was 50 mm/H.
Ultrasonography: the size of the nodule was 30x25x34 mm, and another hyperechogenic lesion was found dorsal to the treated lesion.
Steroid administration resulted in a prompt amelioration of the clinical symptoms. The steroid was given for 6 weeks in a decreasing dose.
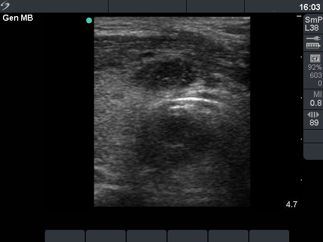
At the time of the discontinuation of steroid therapy (third row):
The size of the lesion was 15x8x19 mm (width x depth x length).
2 months later (fourth row) :
The size of the lesion decreased further and was 10x6x12 mm (width x depth x length).
Comments. This case history in presented twice, first here and second among sclerotherapies.
The cause for a subacute-like reaction after sclerotherapy may be explained by the destructive effect of ethanol. We have found these reactions in around 8% of our patient. In general, this reaction was observed after the fourth to sixth session of sclerotization of larger nodules. The reaction has one great advantage, in great proportion of the patient who presented this adverse effect, the shrinkage of the nodule was more pronounced.















