Ethanol sclerotherapy: parathyroid lesions - Case 2 |
|
First visit (without images):
Clinical presentation: a 54-year-old man was referred for an evaluation of a thyroid nodule detected on CT scan. The latter was performed because of improductive cough.
Palpation: no abnormality.
Functional state: euthyroidism with TSH 1.99 mIU/L.
Ultrasonography: the thyroids were echonormal. There was an irregular cystic lesion in the lower dorsal part of the thyroid bed. The dimensions of the mass were 28x17x28 mm.
Aspiration cytology was performed and we gained 11 mL watery cystic fluid. The smear was acellular.
Additional tests were performed: wash-out thyroglobulin was 0 ng/dl while that of parathormon resulted in 318.8 ng/L. Serum parathormone level was 102 ng/L (normal values 15-65). Serum caslcium and phosphorus were in the normal range.
Suggestion: follow-up in 3 month.
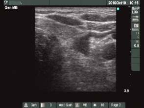
First session (first row of images):
Clinical presentation: the patient told us that her persistent cough lasting for several month have stopped after removal of cystic fluid for five or six weeks. Thereafter this complaint recurred.
Palpation: no abnormality.
Ultrasonography: the cysts has recurred.
We offered ethanol sclerotherapy. We aspirated 4 mL watery fluid and administered 1.5 mL ethanol.
Aspiration cytology was performed and we gained 11 mL cystic fluid. The smear was acellular.
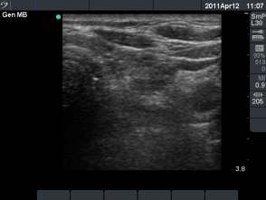
Second session (second row of images):
Clinical presentation: the patient became aware of mild neck discomfort lasting for 2 days.
I removed 3.5 ml serous-watery fluid and administered 1.5 mL ethanol.
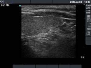
Third session (third row of images):
Clinical presentation: the patient had no complaints. The patient has ceased to cough.
I injected 1 mL ethanol.
6 weeks after the last session (fourth row of images):
Clinical presentation: the patient had no complaints.
Palpation: no abnormality.
Serum parathormon-level 32 ng/dL (normal values: 10-65).
Ultrasonography: the cysts almost disappeared.
6 months after the last session (fifth row of images):
Clinical presentation, palpation, serum parathormon-level (29 ng/dL) and ultrasonography were unchanged.
3 years after the last session (sixth row of images):
Clinical presentation, palpation, serum parathormon-level (37 ng/dL) and ultrasonography were unchanged.





















