Ethanol sclerotherapy: parathyroid lesions - Case 1 |
|
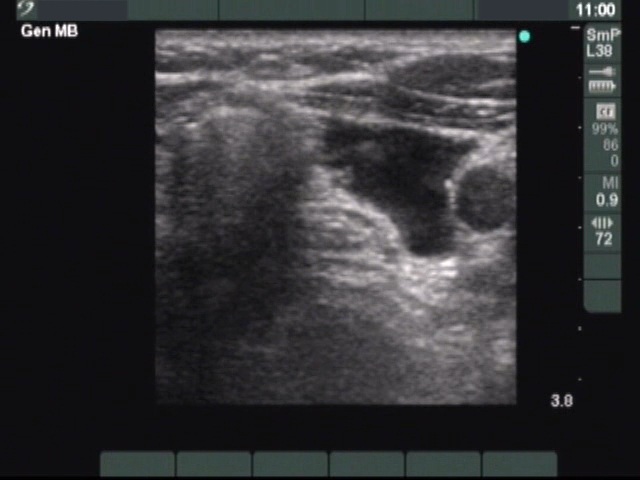
Clinical presentation: a 56-year-old woman with repeatedly aspirated and recurred parathyroid cyst causing complaints. No abnormalities on palpation. The parathormone-level of the cystic fluid was 5 times higher than the upper limit of normal value. Instead of surgical removal, the patient underwent 4 sessions of sclerotherapy.
First row: ultrasonographic picture before sclerotherapy. The size of the lesion was 16x14x32 mm (width x depth x length).
Second row: ultrasonographic pictures 6 weeks after the last session of sclerotherapy. The size of the lesion became 12x7x13 mm (width x depth x length).
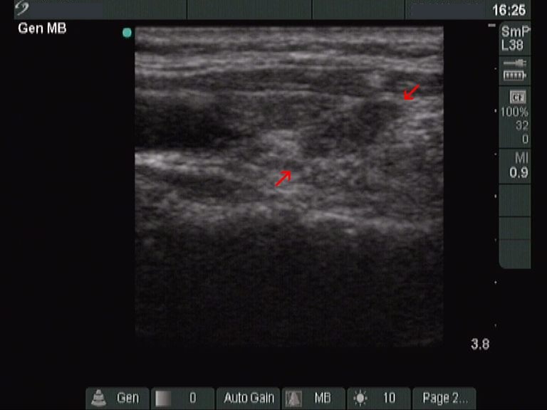
Third row: ultrasonographic pictures 1 year later. The size of the lesion became 6x6x12 mm (width x depth x length).









