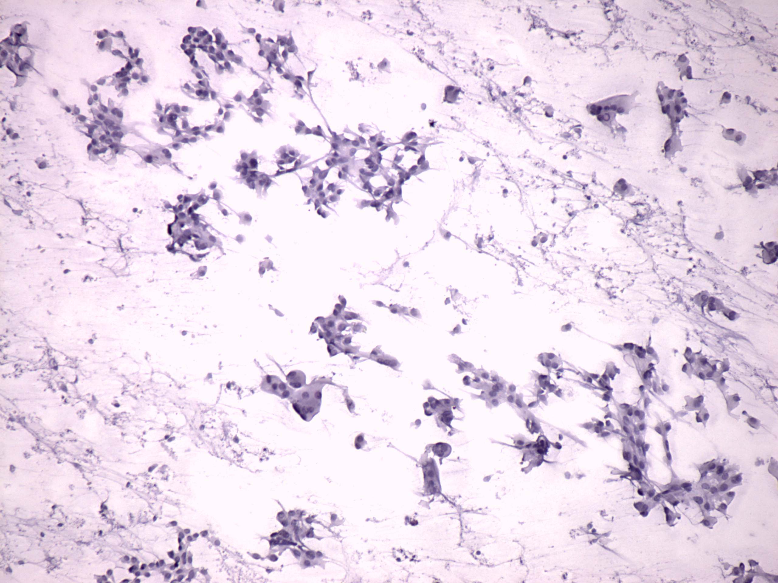
Chronic lymphocytic thyroiditis - Case 55. (cytologic picture 1)
|
|
|
|
|
Pap-smear, 100x. Small cell groups are presented which are formed by follicular cells with abundant cytoplasm.

