Menu
Case histories
Lectures
Follicular adenoma
List of cases
Videorecords
Pitfalls
Course book
Course on US
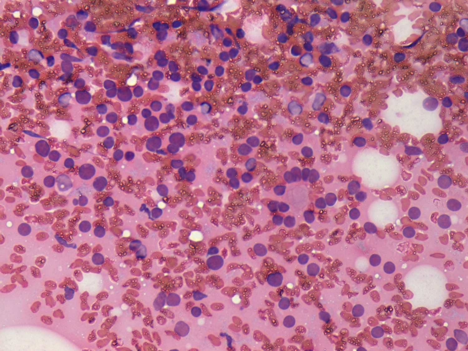
Follicular adenoma - Case 5. (cytologic picture 6)
Pap-smear, 400x. Heterogeneous lymphoid cell population is demonstrated here.