Follicular adenoma - Case 5. |
|
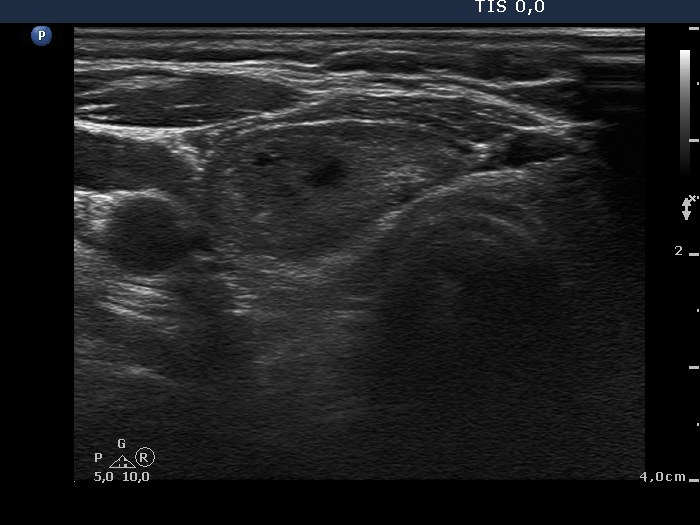
Clinical data: a 67-year-old woman was referred for an evaluation of a nodule discovered on carotid Doppler examination.
Palpation: a firm nodule in the right lobe.
Functional state: euthyroidism with TSH 2.67 mIU/L, FT4 12.3 pM/L.
Ultrasonography: the thyroids were minimally-moderately hypoechogenic. There was a moderately hypoechogenic nodule in the right lobe. The nodule displayed a halo sign and perinodular blood flow.
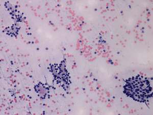
Cytological diagnosis: follicular tumor. Lymphocytic thyroiditis.
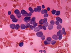
Histopathological diagnosis: microfollicular adenoma. Chronic lymphocytic thyroiditis.










