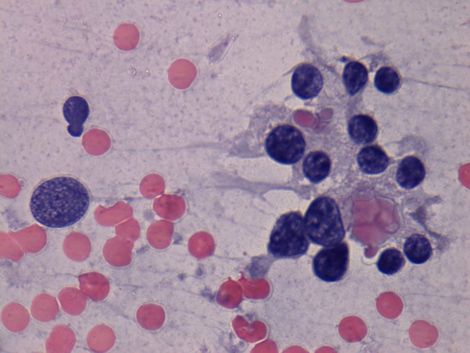
Follicular adenoma - Case 5. (cytologic picture 8)
|
|
|
|
Pap-smear, 1000x. Follicular cells exhibit anisokaryosis and contains small nucleoli. The isolated nucleus on the left is a mitotic form.

