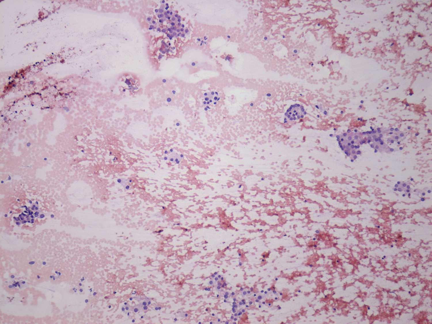
Graves' disease - Case 9. (cytologic picture 1)
|
|
|
|
|
Pap-smear, 100x. There is no colloid in the background. Follicular cells are found dispersed and in loose groups.

