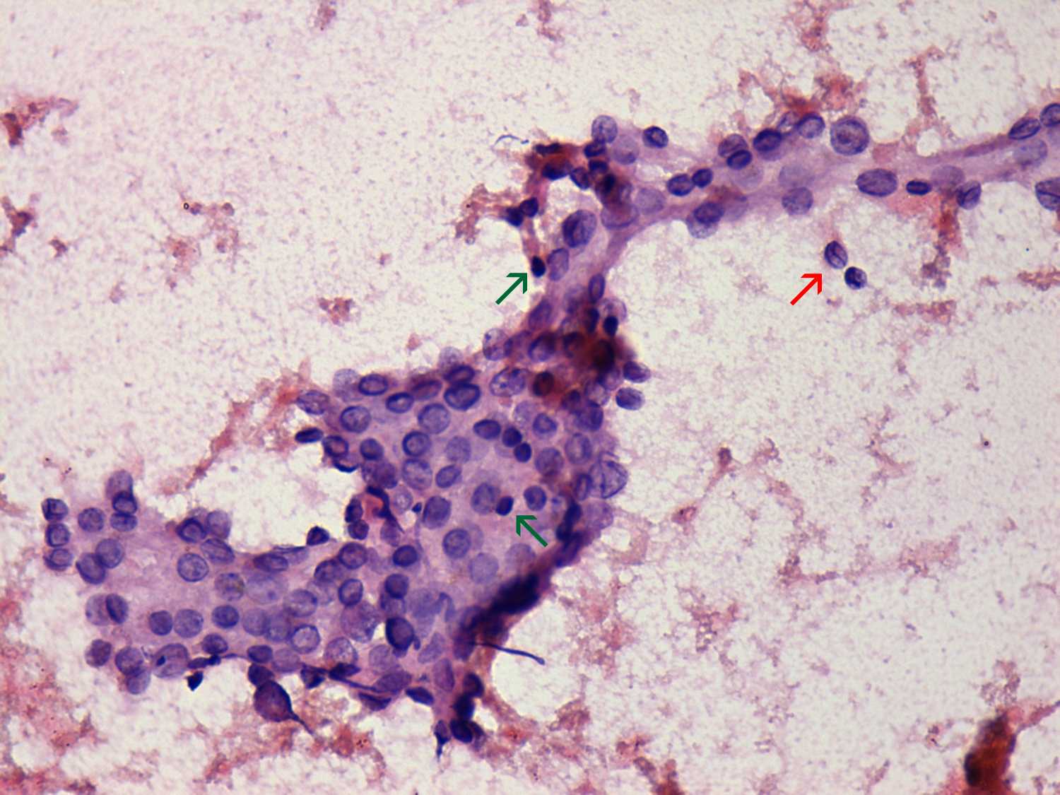
Graves' disease - Case 9. (cytologic picture 3)
|
|
|
|
|
Pap-smear, 400x. There is amonolayered sheet of follicular cells. Note lymphocytes (green arrows) within the cluster and a follicular cell with a groove (red arrow).

