Graves' disease - Case 9. (ultrasonographic picture 5)


Previous picture Back to Case Next picture

Right lobe, longitudinal scan

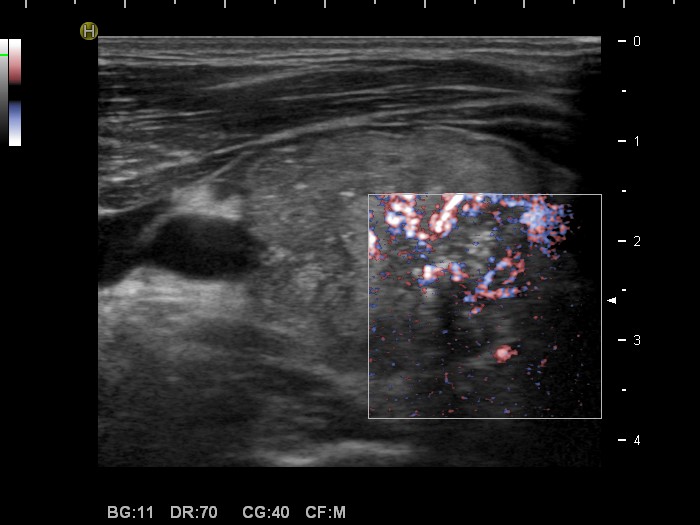
Right lobe, horizontal scan, color Doppler mode, fine flow method. The intranodular blood flow is irregularly increased.

mask