Menu
Case histories
Lectures
Follicular adenoma
List of cases
Videorecords
Pitfalls
Course book
Course on US
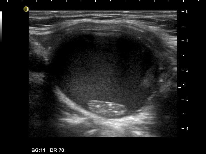
Follicular adenoma - Case 8. (ultrasonographic picture 7)
Left lobe, longitudinal scan.