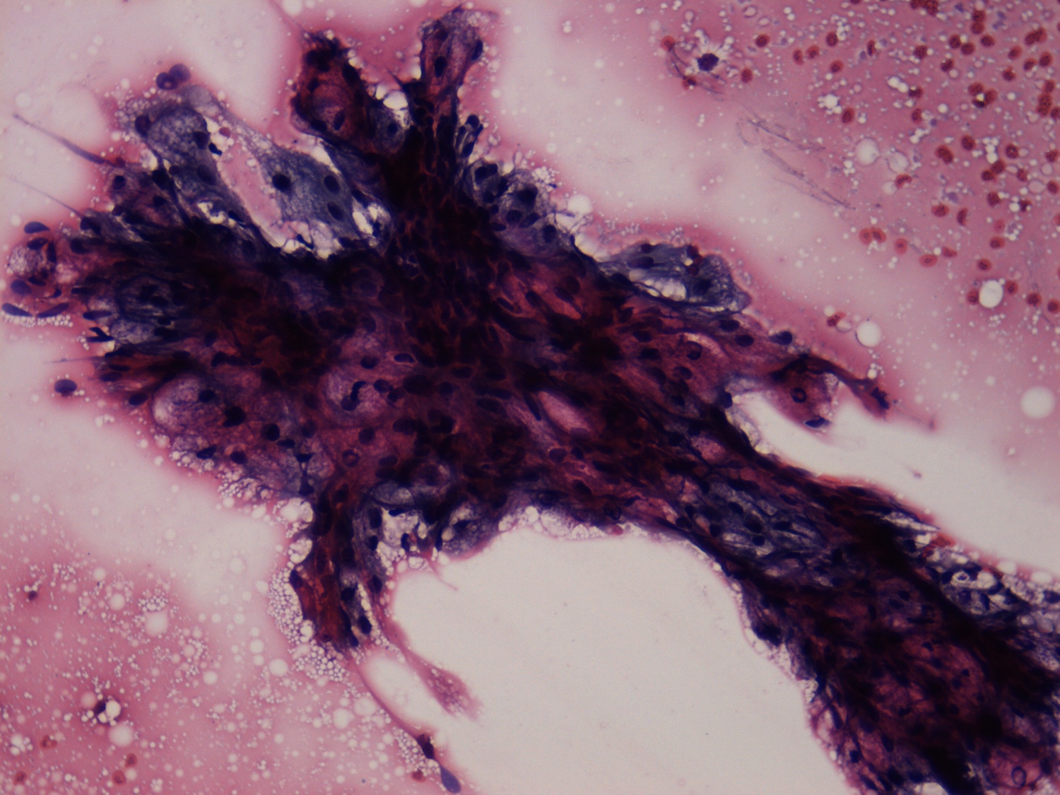
Follicular adenoma - Case 32. (cytologic picture 2 of the lesion in the left lobe)
Follow-up investigation - 7 years later
|
|
|
|
|
Pap-smear, 200x. There are hyperchromatic follicular cells with abundant cytoplasm within the cluster.

