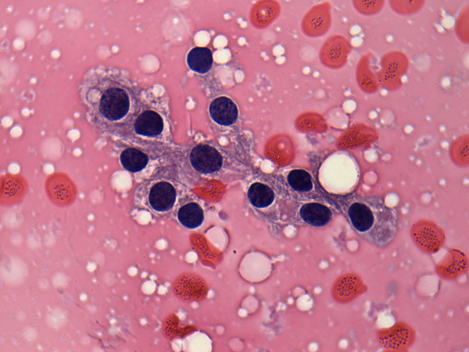
Follicular adenoma - Case 32. (cytologic picture 5 of the lesion in the left lobe)
Follow-up investigation - 7 years later
|
|
|
|
Pap-smear, 1000x. Follicular cells are even-sized and present no significant atypia.

