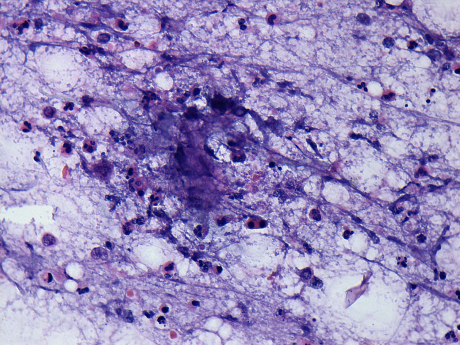
The operated thyroid - Case 17. Multiple granulations around surgical thread
(cytologic picture 5)
|
|
|
|
Pap-smear, 400x. Macrophages, neutrophil granulocytes and remnants of surgical thread are presented in the image.

