The operated thyroid - Case 17.Multiple granulations around surgical thread |
|
Clinical data: a 61-year-old woman was operated on multinodular goiter for 17 years. Bilateral subtotal thyroidectomy was performed and histopathology disclosed benign hyperplastic nodules. She was referred for aspiration cytology because of a "suspicious nodule" in the isthmus.
Palpation: multiple hard nodule were palpated in both lobes.
Results of blood tests: euthyroidism on daily 100 microgram levothyroxine (TSH 1.47 mIU/L).
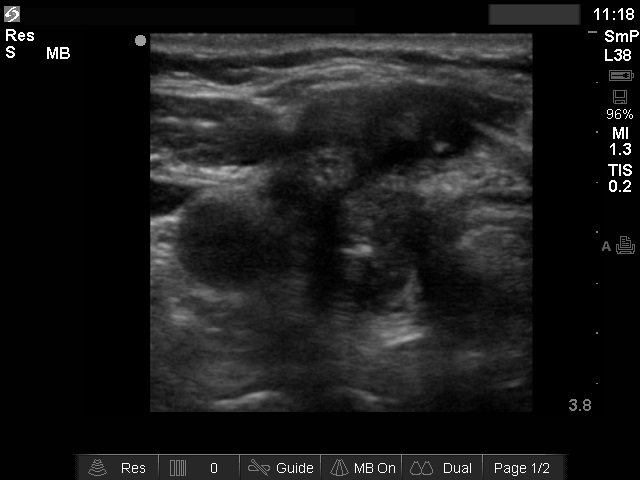
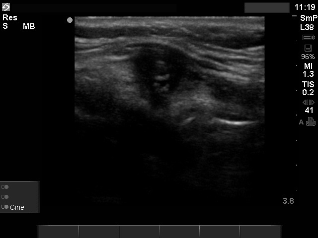
Ultrasonography: there were multiple hypoechogenic lesions containing amorphous hyperechogenic granules in both resected lobes. The lesions were avascular.
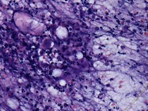
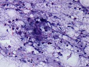
Aspiration cytology resulted in benign granulation around surgical thread.
Comment.
-
Granulation around surgical thread is usually very hard, therefore may suspicious on palpation.
-
Moreover, the sonographic presentation may also cause fear to an inexperienced investigator not being aware about patient history.










