Menu
Case histories
Lectures
Ethanol sclerotherapy
List of cases
Videorecords
Pitfalls
Course book
Course on US
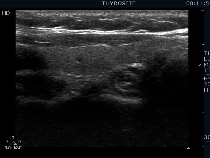
Ethanol sclerotherapy: toxic nodules - Case 2
Two years after repeated therapy (ultrasonographic picture 5)
Left lobe, longitudinal scan.