Follicular adenoma - Case 18. |
|
Clinical data: a 17-year-old girl was referred for an evaluation of a thyroid nodule discovered on a routine examination. She had no complaints.
Palpation: a solitary nodule in the right lobe.
Functional state: euthyroidism with TSH-level 2.95 mIU/L.
Ultrasonography: a solitary minimally hypoechogenic-echonormal nodule with cystic degeneration. The nodule presented halo sign and perinodular blood flow.
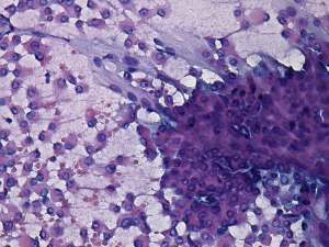
Cytological report: Hürthle-cell tumor. Suggestion: surgery.
Histopathology: follicular adenoma trabecular variant.
Comments:
-
Trabecular adenoma is usually very cellular.
-
It is worth analyzing the cytological pattern. Follicular cells had a well-preserved abundant cytoplasm which mimicked oxyphilic metaplasia. The nuclei were pale because the chromatin is condensed at the periphery of nuclei. Therefore those nuclei which do not presented nucleoli seemed to contain inclusion.








