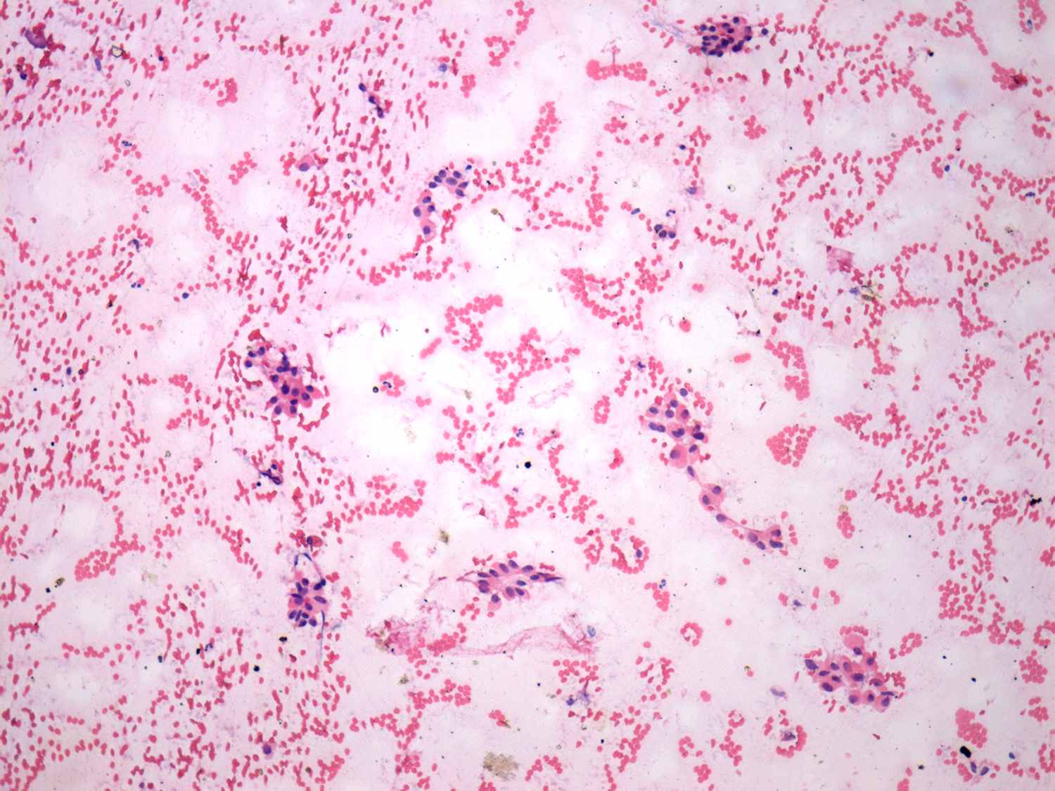
Pap-smear, 100x. There is no colloid in the background. Thyrocytes are found mostly in microfollicles.