|
|
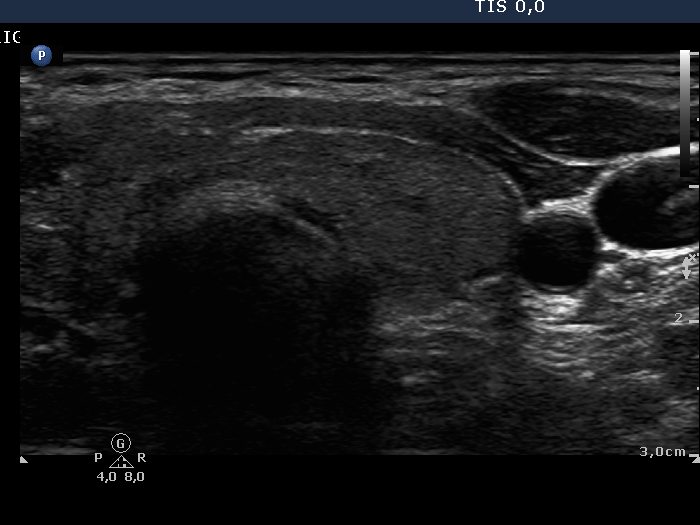
Oxyphilic adenoma - Case 1. |
|
Clinical data: a 31-year-old woman was referred for an evaluation of newly discovered thyroid nodule. She has been treated for hypothyroidism for 11 years.
Palpation: a firm nodule in the right lobe.
Functional state: euthyroidism on daily 75 microgram levo-tiroxin (TSH 0.99 mIU/L).
Ultrasonography: revealed hypoechogenic nodule with a halo sign and perinodular blood flow in the right thyroid. The left lobe was echonormal with small hypoechogenic lesions. The echogenicity index was 10%.
Cytological report: Hürthle-cell tumor.
Histopathology: disclosed Hürthle-cell adenoma and Hashimoto thyroiditis in the non-nodular part of the lobe.










